NATRUM MURIATICUM (le chlorure de sodium)
Ce médicament est cité au degré fort par Kent pour la salivation mais une fois encore les Matières médicales ne disent pas grand chose sur ce sympôme étudié ici.
D'abord ce que dit la matière médicale:
Grande sensation de sécheresse alors que la bouche reste humide, avec soif, salive profuse (aqueuse et salée). Lèvres sèches et fissurées.
Inflammation, gonflement et saignement de la gencive. Gencive scorbutique.
Aphtes n'importe où dans la bouche ou parfois (rarement) localisés à la langue (seul Zincum metallicum partage cette localisation).
Odontalgies très marquées par le froid.
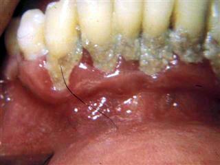
Langue couverte d'une salive mousseuse, mettant sur ses bords comme un chapelet de bulles.
Langue en carte de géographie. Sensation de cuisson à la langue. Sensation d'un cheveu sur la langue.
Engourdissement avec picotements, démangeaisons au niveau de la langue, des lèvres et du nez.
Goût amer et pâteux.
Désir de sel (par périodes).
Hypersalivation pendant la grossesse.
LES HYPERSALIVATIONS (SUITE)
Le registre thérapeutique de ce médicament est très étendu chez l’enfant ou l’adolescent répondant au mode tuberculinique dont il présente les signes les plus caractéristiques : faiblesse irritable, amaigrissement malgré un appétit conservé, déshydratation des muqueuses, congestion veineuse, déminéralisation avec constipation, frilosité mais aggravation par la chaleur surtout confinée, etc... NATRUM MURIATICUM est de prescription quotidienne dans les affection suivantes :
Troubles respiratoires par sensibilité au froid , rhumes, angines ou bronchites à répétition tout l’hiver, asthme, etc...
Troubles cutanés dont l’herpès labial, acné de l’adolescent, urticaire solaire ou par allergie, eczéma ou autres éruptions sur une peau sèche localement huileuse et fissurée.
Troubles ganglionnaires : poly-micro-adénopathie de l’enfance, adénopathies multiples surtout à la partie supérieure du corps, dont la chaîne cervicale, l’adénopathie sous-angulo-maxillaire, etc...
Troubles génitaux très fréquents chez l’adolescent comme le retard pubertaire, les troubles des règles par la suite (épuisantes, abondantes, leucorrhée irritante.. ;).
Troubles circulatoires depuis les palpitations ou la dyspnée avec point de côté lors d’une effort physique jusqu’à la tendance anémique avec céphalée battante (après effort mental, < chaleur, < soleil, > applications froides).
Troubles digestifs : dyspepsie atonique, digestion lente, sensation de plénitude et de ballonnement (> desserrant les vêtements), assoupissement après le repas, constipation par sécheresse, défécation douloureuse avec constriction de l’anus. Désir d’aliments salés par périodes, aversion pour le pain et les aliments gras, soif fréquente par périodes, etc...Surtout des troubles psychiques avec tendance dépressive, recherche d’isolement pour ressasser ses peines et pleurer en cachette, aggravation par la consolation, introspection, indifférence à tout ce qui ne concerne pas son chagrin, se croit incompris, etc...
Tous ces troubles sont fréquents chez l’enfant et chez l’adolescent. Mais également chez l’adulte et on a trop tendance à affirmer que ce médicament ne concerne pas l’adulte, et encore moins l’adulte d’âge mûr ou le vieillard. Ce n’est pas vrai sur le plan général, ce n’est pas exact non plus sur le plan bucco-dentaire. La gingivite avec sécheresse buccale, gingivorragies, aspect scorbutique de la gencive, les aphtes, herpès ou autres éruptions vésiculeuses sont très fréquents quel que soit l’âge.
Mais nous trouvons de plus en plus fréquemment des indications plus spécifiques de l’adulte : les stomatodynies et le syndrome de Gougerot. Le contexte dépressif pour les premières et la tendance générale à la déshydratation pour la seconde les justifient logiquement. La maladie parodontale semble un peu échapper à NATRUM MURIATICUM. Lorsque la gingivite semble perdurer alors que la congestion veineuse s’accentue et se précise davantage sur le petit bassin, on trouve alors l’indication de SEPIA, remède complémentaire dans l’aggravation générale et locale, qu’il faut donc reconnaître et donner en temps utile pour prévenir la parodontopathie.
NITRI ACIDUM (l'acide nitrique)
La bouche:
Commissures labiales crevassées, perlèche, lèvres sèches et fissurées, le tout saignant facilement, avec parfois des douleurs piquantes.
Aphtes et ulcérations dans toute la bouche.
Gencive enflammée, spongieuse, d'aspect scorbutique, ulcérée, saignant facilement, avec une salivation abondante, irritante, fétide et souvent sanguinolente. Parodontopathies évolutives.
Dents jaunâtres, cariées, striées de taches noires, douloureuses (chaud, froid, soir, nuit, pendant la mastication, pendant les règles).
Langue généralement nette, rouge ou géographique, ulcérations (bords), vésicules, verdâtre…
Sécheresse sans soif.
Brûlure dans toute la bouche.
Lichen, leucoplasie.
J.A. LATHOUD précise = Ptyalisme avec parfois une salive si âcre qu'elle irrite les lèvres et ulcère les commissures labiales.
NITRI ACIDUM est le seul médication indique au degré fort pour les ulcérations buccales à tendance phagédénique.
Les troubles de NITRI ACIDUM touchent surtout des sujets asthéniques, émaciés, amaigris, déprimés moralement, irritables au moindre obstacle (leurs colères s'accompagnent de tremblements et de grossièretés), anxieux pour leur santé. Sujets frileux, sensibles au toucher, aux bruits, aux secousses, aux ébranlements du plahcer, aux bruits de la circulation, etc...
C'est dans ce contexte digestif qu'apparaissent les troubles buccaux:
Voici d'abord les signes "bruts" de la matière médicale:
Le plus fréquemment, nous voyons au cabinet dentaire des sujets "Nux vomica" pour une gingivite = la gencive saigne apparemment sans raison, du moins c'est ce qu'affirme le patient. En réalité, il y a une grande négligence de l'hygiène buccale. Dans les cas les plus simples, un simple détartrage suffit, mais la récidive est de règle et un dentiste homéopathe remarquera très vite que les épisodes de gingivite correspondent aux périodes de troubles digestifs.
On peut faire la même constatation pour l'aphtose buccale elle-aussi contemporaine ou faisant suite aux ennuis digestifs.
NUX VOMICA (la noix vomique)
Il s'agit presque exclusivement d'un homme et plus particulièrement d'un homme d'affaires très actif, surmené mentalement, gros travailleur, mais naturellement porté à la sédentarité. Il lui faut une très grande volonté pour accepter de pratiquer régulièrement un sport. Il n'en a aucune envie.
Avec le temps, le surmenage finit par perturber le comportement = le sujet devient irritable, impatient, susceptible, colérique, il s'irrite au moindre obstacle, à la moindre contrariété. Il ne supporte qu'on tente de le calmer. C'est le prototype du tyran domestique = insupportable et méchant avec son entourage proche => famille bien entendu mais également collaborateurs du travail, surtout les subordonnés. Mais il peut paraître bien éduqué en face d'étrangers. A la maison, n'importe quelle occasion le pousse à des colères impulsives mais habituellement vite oubliées = le café n'arrive pas assez vite, il est trop chaud, ou trop froid, le repas n'est pas prêt, etc... Lors de ces colères, le sujet devient congestionné, gesticule, insulte, voire frappe ! Au bureau, ce n'est guère mieux et les secrétaires changent souvent car dans un moment de colère, il les licencient ou celles-ci ne supportent-elles plus les insultes !
Ce comportement témoigne d'une hypersensibilité nerveuse à toute influence extérieure, comme la forte lumière, les odeurs fortes, les courants d'air, la douleur (en cas de migraine, tout le monde le sait et subit sa colère !).
Sa réflectivité (motrice, psychique, sensorielle, viscérale) est prompte et exagérée.
Ce travailleur surmené et acharné, en perpétuellement bouillonnement nerveux, toujours "sous tension" a besoin de stimulants et d'excitants, dont il abuse = café, liqueurs, apéritifs, bière, condiments et mets épicés. Tous ces excès finissent par provoquer des troubles digestifs.
Le versant de ce mode de vie est que le soir, il aurait besoin de se reposer, mais il n'en est rien. il se couche tard, se réveille de bonne heure (3 h du matin), il dort mal, il rumine ses soucis professionnels ou ses projets, et finit par se rendormir d'un sommeil lourd jusque vers 6 h mais il doit se lever pour aller au bureau. Il est donc souvent fatigué dès le matin au lever, ce qui n'arrange pas son humeur.
Il est facile de comprendre que cette hygiène de vie totalement inadaptée va provoquer progressivement divers troubles du comportement et de l'appareil digestif.
Il est fréquent de voir, chez ces travailleurs surmenés, une tendance dépressive tristesse, hypocondrie, pleurs faciles, sentiment d'incapacité à faire face à ses charges. Le tout pouvant aller jusqu'à des tendances autolytiques.
Commentaire
d'Alain HORVILLEUR
Commentaire
d'Alain HORVILLEUR
Des troubles concernent certes l'homme d'affaires surmené et sédentaire, mais peuvent être rencontrés chez tous les sédentaires ayant une hygiène de vie très mal adaptée à leurs besoins = suralimentation avec abus de repas trop riches et trop arrosés de vins, de mets épicés, de sauces, de graisses. Il y a aussi l'abus de café, de médicaments de toutes sortes pour calmer les différentes troubles, dont les sédatifs, les somnifères, les excitants, le tabagisme est fréquent.
Le centre pathologique de ce malade est son FOIE et les moments d'aggravation de différentes troubles correspondent à la digestion, qui est difficile.
Le sujet, vers 11 h, ressent quelques vagues aigreurs d'estomac, mais elles passent en prenant un apéritif ou un peu de nourriture. Petit à petit, il éprouve une aversion pour la viande et le pain mais a toujours de gros désirs de mets épicés, de condiments, de café, d'alcools dont la bière et les spiritueux. Sans oublier le tabac !
Presque aussitôt après le déjeuner, le patient éprouve une pesanteur à l'estomac ou à l'épigastre, avec tête chaude. S'il sort au grand air, il y a une amélioration. S'il se vautre dans un fauteuil, il somnole et s'endort même avec une nette amélioration par une courte sieste (comme si le sommeil court-circuitait la tension nerveuse). Il se réveille avec la bouche sèche et un goût amer.
S'il ne peut faire une sieste par manque de temps, la digestion est difficile et environ une à deux heures après le repas, le patient ressent une sensation de pierre et/ou de pesanteur au niveau de l'estomac. Il est d'autant plus sensible au toucher de l'abdomen qu'il a des ballonnements au point qu'il doive desserrer sa ceinture. La région hépatique est très sensible au contact et à la pression. Il y a également du pyrosis, des éructations acides ou amères, des nausées et enfin, une distension abdominale flatulente avec parfois des coliques spasmodiques. Le patient a l'impression que s'il pouvait vomir il serait soulagé, il tente de provoquer le vomissement, mais avec difficulté car il est rarement spontané.
La nuit, le patient se réveille vers 3 h et pendant deux ou trois heures, il est gêné par des malaises abdominaux et des coliques flatulentes. Puis il se rendort d'un sommeil lourd et se lève vers 6 h avec "la gueule de bois". Il est alors de mauvaise humeur, la tête lourde et confuse, un goût amer dans la bouche et encore quelques nausées.
A l'examen, le foie est hypertrophié et sensible à la palpation. Quand apparaît la congestion portale, le sujet présente des hémorroïdes = douleurs piquantes, battantes, pressives, très prurigineuses, améliorées par des applications froides, saignement plus ou moins abondant.
La constipation est très fréquente malgré de très fréquents besoins inefficaces. Il existe un antipéristaltisme intestinal que l'on retrouve également lors des nausées = au moment où la selle semble imminente les contractions de l'intestin se font en sens inverse. Les selles sont donc incomplètes et laissent une sensation de malaise. La migraine pendant la constipation est très fréquente
VERATRUM ALBUM (Varaire blanc ou Hellebore blanc)
C'est un médicament que le chirurgien-dentiste n'a pas l'occasion de prescrire :
Signes buccaux :
Il existe beaucoup d'autres médicaments.
Une recherche du "remède semblable" par l'utilisation d'un répertoire, surtout électronique, s'impose souvent
Hypersalivation
pendant la grossesse
LUESINUM : lysat de sérosités de chancre syphilitique
Du fait de sa composition (lysat de sérosités de chancres syphilitiques), LUESINUM est encore parfois appelé Syphilinum. LUESINUM exprime dans sa matière médicale la quasi totalité des troubles syphilitiques et correspond, en similitude, aux troubles du mode luétique. Il a été introduit dans la pratique en 1880 par SWANN, un médecin homéopathe américain. Voici d’abord les signes bucco-dentaires :
Déformations des dents qui se carient facilement au bord des gencives (STAPHYSAGRIA, THUYA, CALCAREA CARBONICA) et se cassent facilement (KREOSOTUM). Douleurs dentaires aggravées la nuit. (VANNIER et POIRIER)
Les dents sont déformées, tordues, tachées; elles se carient de bonne heure; dents cupuliformes chez les enfant. Violentes douleurs dentaires, sensation de reptation, comme par un ver, à la racine des dents. Bouche et langue ulcérées. Haleine fétide. Langue molle, spongieuse, gardant l'empreinte des dents. Abondante salive visqueuse. Sa Saignement venu des ulcères .... (KENT).
Stomatite, parodontose, glossite, caries. Muqueuses gonflées, ulcérées. Langue rouge, sensible, spongieuse, paralysée d'un côté, dépapillée par endroits. Dents tordues, dentelées, palais ogival, dents tachées par endroits, se cariant de bonne heure. (W. BUSCHAUER - Homéopathie Maisonneuve 1988).
Malgré les signes bucco-dentaires, rapportés par KENT lui-même dans sa Matière Médicale, son Répertoire ne cite pratiquement jamais LUESINUM aux différentes rubriques concernées. C'est là un mystère inexplicable.
Il est utile de répéter que LUESINUM étant préparé à partir de sérosités de chancre syphilitique, sa pathogénésie présente de nombreuses similitudes avec cette maladie et il représente le biothérapique, le résonnateur-clef selon M. CONAN-MERIADEC, du mode réactionnel luétique. Or, ce mode réactionnel se caractérise par une multitude de processus irritatifs disséminés à travers la circulation sanguine, aboutissant à des oblitérations des vaisseaux, à une dévitalisation des tissus irrigués par ceux-ci, le tout aboutissant à des lésions hypertrophiques, à des indurations, puis à des atrophies et à la sclérose, à des ulcérations nécrotiques. Tous les tissus sont concernés, et notamment les muqueuses, dont la muqueuse buccale et gingivale, au niveau desquelles sont retrouvés les processus irritatifs ulcéro-nécrotiques. Pour cette raison, les médicaments de la série luétique sont pratiquement tous des remèdes de fond des aphtoses buccales.
Chez un adulte devenu luétique par un mode de vie défavorable (alcoolisme notamment), les dents sont moins concernées puisqu'elles peuvent être normalement minéralisées. Elles subissent alors les agressions habituelles. Mais le mode luétique explique la tendance aux gingivites ulcéro-nécrotiques, puis aux parodontopathies parfois graves, selon l'état général. Il peut s'agir d'un adulte dystrophique (l'enfant précédent qui a vieilli): sa denture est le plus souvent en très mauvais état, ou bien de nombreuses dents sont absentes, ou bien elles ont été plusieurs fois traitées et ont des obturations parfois mal adaptées, débordantes, iatrogènes, ce qui peut être le cas également de prothèses fixées ou amovibles. Il y a donc toutes ou de nombreuses causes locales d'irritation, qui associent leur action défavorable à celle du "terrain".
Le tableau habituel de LUESINUM est celui d'un déprimé, plutôt égocentrique (ne s'intéresse qu'à lui-même), obsédé par sa santé, par la peur des microbes et de la contagion (manie de se laver les mains très souvent). Cet état empire lorsqu'il maigrit, ou lorsqu'il perd ses cheveux qui ont souvent blanchi avant l'heure. L'humeur est changeante, capable de s'emporter à la moindre contradiction, agité physiquement (besoin de remuer, de marcher) et mentalement (colères, agressivité). Ce sujet peut devenir un asocial, un marginal, avec une tendance à l'alcoolisme, ou à la toxicomanie, à la dépravation. L'alcoolisme explique de nombreux signes digestifs et buccaux, déjà vus avec LACHESIS, dont il peut être un complémentaire (cela montre une fois encore qu’il y a similitude avec la syphilis et non obligatoirement identité). On retrouve également l'aggravation nocturne de tous les signes, avec l'anxiété qui est plus manifeste alors que le soir arrive, ce qui le distingue de LACHESIS. En général, un sujet LUESINUM a de nombreuses douleurs, osseuses chez l'enfant, articulaires ou musculaires, toujours aggravées la nuit, améliorées le jour, ou par un climat sec, à la montagne, par le mouvement lent et continué. Ces douleurs apparaissent et disparaissent progressivement.
Dans ce contexte général, il y a d'abord une gingivite rapidement ulcéreuse avec des douleurs variables, pires la nuit, accompagnée d'une hypersalivation surtout nocturne, au point de tacher l'oreiller. C'est donc un tableau clinique qui évoque MERCURIUS SOLUBILIS, remède complémentaire, aussi bien aigu que chronique. L'aggravation se fait vers une parodontopathie rapidement mutilante, avec des poches suppurées (MERCURIUS), des ulcérations profondes, le tout aggravé par une hygiène buccale ou générale décevante, souvent inexistante.
En dehors d'un tableau aussi caractéristique, il est possible d'associer LUESINUM, le plus souvent en 30 CH une fois par mois, pour compléter l'action d'un autre médicament de fond, chaque fois que l'on constate chez le patient quelques signes du mode luétique, Notamment dans le cas d'aphtose buccale grave et particulièrement rebelles.