LES HYPERSALIVATIONS
Ptyalisme - Hypersialorrhée
L'hypersalivation, appelée aussi "hypersialorrhée" ou encore "ptyalisme" se manifeste, comme son nom l'indique, par une salivation abondante, voire très abondante".
Il est facile d'imaginer les désagréments pour les malades ou patients. La vie personnelle du malade comme celle de son entourage sont perturbées.
L'excès de salive peut être causé par une hypersécrétion de salive ou/et par la diminution de la capacité d'avaler celle produite en excès.
Il peut s'agit d'un trouble isolé temporaire, mais parfois qui peut durer plus longtemps. Il est donc nécessaire de consulter un praticien qui recherchera la ou les causes éventuelles puis les supprimera si possible ou donnera un traitement médicamenteux approprié. L'homéopathie possède de nombreux médicaments pour ce trouble.
Certains causes sont faciles à mettre en évidence, d'autres hélas beaucoup moins.
Quelles sont les causes de l'hypersalivation ?
Le traitement en médecine classique :
Le traitement classique fait appel à des médicaments anticholinergiques, à des agonistes des récepteurs adrénergiques, des béta-bloquants ou encore à la toxine botulinique.
Parfois une rééducation, orthophonique par exemple, peut être nécessaire pour contrôler la sialorrhée excessive. C'est souvent le cas lors d'un AVC ou d'une atteinte neurologique.
Malheureusement force est de reconnaître que ces traitements sont parfois décevants.
(cliquer sur le lien ci-dessus)
Acetic acidum
Antimonium tartaricum
Coffea
Helonias
Kali iodatum
KREOSOTUM
Lactic acidum
etc...
MEDICAMENTS CITES DANS LES REPERTOIRES A LA RUBRIQUE
"HYPER-SALIVATION" DANS LE REPERTOIRE DE KENT
Dans le Répertoire de Kent il est précisé 3 degrés d'intensité des symptômes pour chaque médicament :
3 = DEGRE FORT en majuscules
2 = DEGRE MOYEN en minuscules grasses
1 = DEGRE FAIBLE en minuscules
James Tyler KENT
(1849-1916)
auteur américain du répertoire homéopathique, particulièrement bien documenté et sans doute le plus utilisé encore aujourd'hui
REMEDES AU DEGRE FORT (3° degré)
AMMONIUM CARBONICUM
ARUM TRIPHYLLUM
BARYTA CARBONICA
BORAX
FLUORIC ACIDUM
IODUM
IPECA
KALI CARBONICUM
HYDROPHOBINUM (Lyssinum)
MAGNESIA MURIATICA
MERCURIUS SOLUBILIS
MERCURIUS CORROSIVUS
NATRUM MURIATICUM
NITRI ACIDUM
NUX VOMICA
VERATRUM ALBUM
L'utilisation du Répertoire, et celui de Kent en particulier, nécessite un véritable apprentissage. Il faut une longue pratique pour en maîtriser l'usage tant sont nombreuses les rubriques. Parfois un médicament est indiqué dans un répertoire mais absent dans un autre. Ou encore le Répertoire de Kent cite tel ou tel médicament pour un symptôme alors que les Matières médicales les ignorent ! Tout est donc question d'une longue pratique pour s'y retrouver !
Heureusement, l'informatique a bouleversé la pratique. Les logiciels exigent aussi une certaine pratique mais leur rapidité perment facilement de refaire les recherches, autant de fois que nécessaire.
REMEDES AU DEGRE MOYEN (2° degré)
Alumina
Anacardium
Arsenicum iodatum
Asaraum
Aurum muriaticum
Belladona
Bromium
Calcarea carbonica
Calcarea phosphorica
Camphora
Cantharis
Capsicum
Carbo vegetabilis
Causticum
Chamomilla
Chelidonium
China
Cicuta virosa
Cinnabaris
Clematis erecta
Coccus cacti
Colchicum
Crotalus cascavella
Cuprum metallicum
Drosera
Dulcamara
Ferrum magneticum
Ferrum phosphoricum
Gambogia
Glonoïnum
Granolia officinalis
Graphites
Hellonias
Hepar sulfur
Ignatia
Iris versicolor
Kali chloricum
Kali iodatum
Kreosotum
Lac caninum
Lachesis
Lactuta virosa
Lycopodium
Mancinella
Mercurius cyanatus
Mercurius dulcis
Mercurius iodatus ruber
Muriatic acidum
Naja
Natrum carbonicum
Natrum sulfuricum
Nux moschata
Oleum animalis
Oxalyc acidum
Petroleum
Phosphorus
Phytolacca
Plumbum metallicum
Podophyllum
Pulsatilla
Senega
Sepia
Silicea
Stramonium
Sulfur
Sulfuric acidum
Tabaccum
Zincum
ETUDE CLINIQUE DES PRINCIPAUX MEDICAMENTS DE L'HYPERSALIVATION
LES MEDICAMENTS DU DEGRE FORT
(par ordre alphabétique)
AMMONIUM CARBONICUM (le carbonate d'ammonium)
Alors que KENT affirme que ce médicament a au degré fort l'hypersalivation, voici ce qu'il écrit dans sa Matière médicale:
Un symptôme courant qu’on trouve partout chez ce remède c’est une douleur dans les os. Les os font mal comme s’ils allaient se briser. Les dents sont très douloureuses à chaque changement de temps ou aux changements de température dans la bouche.
Les mâchoires ou les racines des dents sont douloureuses. La chute des cheveux, la coloration jaune des ongles des doigts, la rétraction et le saignement des gencives et l’état branlant des dents sont des traits saillants du remède et sont tous en rapport avec l’état scorbutique.
Pas un mot sur l'hypersalivation !
Le Professeur Timothy Field ALLEN (1837-1902) est plus précis:
Bouche :
Augmentation du volume salivaire, qui est aigre, salée, ou, a un goût fétide.
La face interne des joues est gonflée.
Les dents sont branlantes, allongées, déchaussées.
Les gencives sont gonflées, saignent facilement.
Odontalgie, < en serrant les dents, < dans la soirée, en allant au lit.
Vésicules dans la bouche et sur la langue.
Dans son ouvrage : "Homéopathie clinique - Matière médicale", Henri VOISIN décrit ainsi le sujet Ammonium carbonicum :
"C'est une personne - plus souvent une femme qu'un homme - grasse, lourde, bedonnante et flasque, d'aspect malsain, gélatineux et indolent. Ses troubles proviennent d'une carence de l'hématose et de la nutrition liée à une insuffisance cardio-respiratoire.
Pratiquement c'est un carbonique devenu carbo-nitrogène, hypo-oxygéné, intoxiné et faible malgré une apparence robuste.
Il est déprimé moralement, triste, indolent, geignard, négligé dans ses soins corporels et dans sa tenue (a horreur de se laver), distrait, sédentaire et sans préoccupations intellectuelles, mais trè sensible à ce qu'il entend dire ou raconter et angoissé (appréhension sur sa santé, de mauvaise humeur le matin et par temps humide ou orageux).
S'il s'agit d'une femme, elle pleure facilement et a des crises fréquentes de défaillances contre lesquelles elle use "des sels" (comme on disait autrefois !).
Ce patient est perpétuellement las, reste souvent des heure affaisé et somnolent sur une chaise. Très frileux, il craint surtout le froid humide, le temps couvert et l'air froid (ne désirant celui-ci que lorsqu'il est oppressé), recherche la chaleur et se couvre chaudement. Par ailleurs, il est souvent amélioré en mangeant ou après les repas.
La peau est pâle, cyanosée, infiltrée et oedématiée. Le panicule adipeux est lâche et distendu, la face pâle et bouffie, les paupières lourdes et gonflée, les yeux étaintes et les commissures des lèvres ulcérées.
L'insuffisance de l'hématose et du fonctionnement cardio-respiratoire crée un état d'anémie avec dyspnée facile (aggravée vers 3h du matin et par l'effort), faiblesse et accélération du coeur, palpitations (< 3h, après le coït et à tout mouvement) et des hémorragies foncées et fluides (épistaxis après avoir mangé ou en de lavant la figure ou les mains). Règles en général abondantes et en avance avec sang noir et irritant, flux plus fort la nuit ou en étant assis, asthénie, faiblesse des cuisses et diarrhée le premier jour.
Le malade a un appétit fort mais vite rassassié. Il présente un coryza chronique sec avec obstruction du nez la nuit, des vertiges, une céphalée avec sensation de plénitude de la tête et de la raideur ou de l'engourdissement des bras et des mains la nuit et le matin.
ARUM TRYPHILLUM (Gouet à trois feuilles)
Médicament fréquemment indiqué pour l'angine souvent grave avec très forte irritation = le pharynx et les voies nasales font l'objet d'une forte inflammation, température parfois élevée. Le patient ressent une sensation que sa gorge est à vif = muqueuse rouge, comme une tranche de bifteck cru, parois recouverte de fausses membranes.
La langue est brûlante, framboisée, avec des picotements et des fourmillements dans la bouche et dans le nez. Le malade est constamment tenté de s'écorcher les lèvres, surtout la lèvre inférieure, d'arracher sans cess des squames de muqueuses labiales jusqu'au saignement.
La salive mais aussi l'écoulement nasal s'il y a coexistence d'un coryza sont abondants âcres, corrosifs, ulcérant les narines et les commissures labiales. Le malade refuse de boire ou de manger
BARYTA CARBONICA (carbonate de baryte)
Ce qui domine dans l'action du carbonate de baryum est sa tendance à la sclérose, au ralentissement de toutes les fonctions, l'engorgement des formations lymphoïdes, l'atteinte des glandes, dont les salivaires. Outre son action hypertensive sur la circulation artérielle par sclérose vasculaire essentiellement chez l’adulte mûr ou le vieillard, BARYTA CARBONICA perturbe profondément la croissance et la nutrition chez l’enfant, expliquant les nombreux « retards » physiques et mentaux. Le mode luétique s’exprime par son action sur le système lympho-ganglionnaire = hypertrophie, induration, puis atrophie et sclérose, notamment chez l’enfant au niveau des amygdales et chez le vieillard au niveau de la prostate. Voici d’abord les signes bucco-dentaires :
Douleurs, hypertrophie, induration des glandes sous-maxillaires; enflure parotidienne droite. Ces glandes s'enflamment, s'hypertrophient, deviennent douloureuses, souvent après exposition au froid, ou au changement de temps. Il n'y a pas de suppuration, mais une induration.
Sécheresse buccale, le matin au réveil.
Aphtes. Enflure de la gencive. Gencives saignant facilement. Enflure du palais avec suppuration.
Faiblesse ou paralysie de la langue chez les personnes âgées, rendant la phonation difficile. Faiblesse parétique de la langue, entraînant des morsures notamment après pose de nouvelles prothèses (observation personnelle = à comparer à CAUSTICUM).
Comme on peut le constater, ces deux sources ne citent pas l'hypersalivation alors de KENT la précise au degré fort dans son Répertoire !!!
Il est donc nécessaire de valoriser le contexte clinique bien décrit par Henri VOISIN.
Alors, comment se présente un patient BARYTA CARBONICA ?
Pr Timothy Field ALLEN :
Face : (Baryta carbonica)
Généralement pâle.
Gonflement des glandes sous maxillaires.
La face est gonflée, avec une sensation de tension (eczéma des bébés au sein).
Par moment, le visage devient d’un rouge sombre, comme par un afflux de sang.
Sensation de rétrécissement, comme si le visage était recouvert par une toile d’araignée.
Bouche : (Baryta carbonica)
Douleurs brûlantes, " exquises ", au niveau du bout de la langue.
La bouche est remplie de vésicules enflammées, surtout sur les côtés de la langue.
Les dents se carient rapidement.
Mauvaise odeur de la bouche.
Odontalgie saccadante, qui s’étend dans les oreilles et les tempes.
Odontalgie, avec gonflement des gencives, dans la période qui précède les règles.
Saigne fréquemment et abondamment des gencives.
Sécheresse de la bouche.
L'ENFANT « BARYTA CARBONICA »:
On peut dire de cet enfant qu'il n'a pas de chance, au sens homéopathique et diathésique du terme. Homéopathique parce d'un côté le carbone représente un élément de ralentissement et de sclérose, surtout centré sur le tube digestif (constipation opiniâtre, atonie rectale, hémorroïdes saillantes...), de l'autre la baryte développe une action toxique de sclérose, d'hypertrophie et d'induration des glandes et ganglions, de congestion. Diathésique en raison de l'hérédité "chargée". Le plus souvent, il est né de parents autrefois appelés "carboniques" ayant eu de gros problèmes de santé, dans lesquels les quatre modes réactionnels sont largement impliqués, surtout au stade lésionnel. Ou encore de parents alcooliques. R. ZISSU décrit deux types d'enfants BARYTA CARB.:
Dans son ouvrage Children's types, Douglas M. BORLAND affirme n'avoir jamais rencontré d'enfants BARYTA CARB. de taille normale, ils les appelle des "sous-développés physiquement et mentalement, et en plus très timides, surtout en présence d'étrangers. Ce sont aussi des enfants peureux pour tout, enclins à des cauchemars ou â des terreurs nocturnes". VOISIN écrit: "Le sujet est timide, honteux, a peur des figures qu'il ne connaît pas, joue seul et â des babioles, se cache quand vient une visite". BORLAND ajoute qu'en les étudiant, on s'aperçoit que ces enfants ont toujours été en retard: pour parler, marcher, pour la dentition, pour le développement pondéral, etc... En plus, ils sont lents et semblent ne rien comprendre en classe, inattentifs par faiblesse de la mémoire: incapables de retenir longtemps une leçon qu'ils savaient par cœur quelques instants plus tôt. PONCET ajoute que ces enfants présentent une "immaturité affective, un comportement infantile, une timidité excessive, un manque de confiance en eux". Pas étonnant que certains d'entre eux puissent être de véritables arriérés mentaux, voire des idiots (au sens médical).
Ces enfants sont particulièrement sensibles au froid, ils s'enrhument facilement et présentent une hypertrophie des amygdales ainsi que des autres formations lymphoïdes, avec tendance â l'induration.
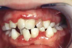
On peut voir ces enfants au cabinet dentaire pour des caries (2'd), des aphtes (signe absent dans le Répertoire de KENT mais signalé par LATHOUD, indiqué au 2° d à "ulcérations de la langue"), salivation très abondante. Leur comportement est celui déjà décrit, mais nous pensons qu'avec beaucoup de tact, on parvient â les mettre en confiance et â les soigner sans trop de problème.
Enfant Baryta carbonica
commentaire d'Alain HORVILLEUR
DE L'ADULTE HYPERTENDU AU VIEILLARD ABRUTI ET SCLEREUX "BARYTA CARBONICA"
BARYTA CARBONICA se trouve le plus souvent indiqué aux âges extrêmes de la vie: l'enfant retardé intellectuellement et physiquement, souvent en raison d’une hérédité lourde et l’adulte mûr et surtout le vieillard.
Les grandes tendances physio-pathologiques de BARYTA CARBONICA donnent un sujet hypertendu, athéro ou artérioscléreux, atteint de une ou de plusieurs indurations glandulaires (parotides, sous-maxillaires, prostate, utérus ... ). Ce sujet est devenu très frileux, très sensible au froid, au moindre froid même (PSORINUM). Le blocage, d'interprétation psorique, est manifeste: constipation de plus en plus invétérée, selles difficiles, noueuses, insuffisantes, dures, hémorroïdes saillantes (chaque fois que le sujet urine, les hémorroïdes sortent de 1 'anus, de même qu'au cours de la selle); blocage cutané: peau malsaine, les plaies cicatrisent mal, eczéma ... ; et surtout, tendance aux catarrhes respiratoires au moindre froid, à la rétraction de l'aponévrose palmaire, aux tumeurs bénignes (polypes, lipomes, ... ). Ce patient enfin présente une tendance à hypothyroïdie, à l’hypogénitalisme et au vieillissement précoce.
A un stade plus avancé, BARYTA CARBONICA correspond à un vieillard plus ou moins débile, voire gâteux, hypertendu, gras, à tendance apoplectique, faible, à mentalité infantile, avec une mémoire très faible, des vertiges, des céphalées congestives avec risque d'accident vasculaire ou cérébrale.
Sur le plan bucco-dentaire, il est évident que le pronostic d'une maladie parodontale dépend étroitement de l'état général. Si l'on voit en consultation un vieillard scléreux et "gâteux", il est certain que l'on ne pourra plus rien en cas de parodontopathie, en dehors des avulsions et d'une solution prothétique. Mais si l'on a affaire à un adulte mûr, présentant quelques signes de BARYTA CARBONICA, sans qu'il y ait encore de pathologie lourde, sur le plan général ou bucco-dentaire, il faut supprimer toutes causes d'irritation buccales, détartrer les dents aussi souvent que nécessaire, éduquer et motiver à l'hygiène bucco-dentaire, proposer une hygiène alimentaire (suppression de l’alcool, du tabac ... ). Et prescrire BARYTA CARBONICA: la sécheresse buccale peut être un signe du syndrome de Gougerot, surtout s'il y a atteinte des glandes salivaires. Or, il ne faut pas attendre la sclérose de celles-ci pour s'en inquiéter. L'homéopathie donne pour cette affection des résultats parfois étonnants. La tendance à l'hypothyroïdie doit être combattue car les conséquences bucco-dentaires sont importantes: gingivo-stomatite ulcéreuse oedémateuse chronique, caries multiples des collets, alvéolyse horizontale ... L'hypothyroïdie joue un rôle déterminant et est une des causes principales de la maladie parodontale chez le jeune (P. TONNELIER). Chez l'adulte aussi.
Ainsi, tout un ensemble de signes plus ou moins importants traduit-il l'atteinte en profondeur de la nutrition générale. Si l'on peut recevoir un patient à un stade où les troubles sont encore réversibles, il faut agir vite, le plus souvent en collaboration avec le médecin traitant, de préférence homéopathe. Bien que BARYTA CARBONICA soit un remède d'action lente, il y a urgence de stopper un processus qui aboutit à une édentation plus ou moins rapide.
On peut donner BARYTA CARBONICA en 1 ou 3 CH deux à trois fois par jour pour lutter contre la tendance scléreuse et associer BARYTA CARBONICA en 15 ou 30 CH, en prises espacées pour un traitement de fond.
Baryta carbonica adulte
commentaire d'Alain HORVILLEUR
BORAX (le borate de soude)
Ce médicament est cité dans tous les ouvrages de vulgarisation de l’homéopathie comme pratiquement le seul médicament d’aphtose buccale. Il est évident que nous ne pouvons nous associer à cette systématisation. A notre avis, ce médicament concerne surtout l’aphtose buccale du nourrisson. La matière médicale affirme que le bébé refuse toute nourriture en raison des douleurs que la tétée provoque. Mais personne n’a pu interroger un nourrisson. Mais c’est sans doute vrai car l’enfant plus grand a les mêmes douleurs. Ce qui est plus sûr, c’est que l’enfant crie lorsqu’on le couche, par anxiété des mouvements de descente. Un signe concomitant à la poussée d’aphtes est une diarrhée jaunâtre. Un autre est une hyperesthésie aux bruits. Dans ce contexte, on donne BORAX de 5 à 9 CH deux à trois fois par jour. C’est encore un médicament possible d’aphtose buccal chez une femme ayant de gros problèmes de règles, qui sont douloureuses et chez laquelle on retrouve la crainte des mouvements de descente, ou d’accélération ou de freinage brutaux, qui créent une anxiété. Mais quoiqu’en disent certains ouvrages, ce n’est pas un médicament d’aphtes retrouvé fréquemment. Même s'il est le plus souvent cité dans les ouvrages de vulgarisation.
C'est lors d'une poussée aphteuse que l'on peut voir une salivation nettement augmenée/
FLUORIC ACIDUM (l'acide fluorhydrique)
La présence d’acide dans ce médicament explique son indication pour des troubles franchement lésionnels. Lorsqu’on dépose une goutte d’acide sur une muqueuse, sur la peau ou sur n’importe quel autre tissu, il y a rapidement formation d’une ulcération par destruction des tissus atteints. Lorsqu’un veut bien se souvenir que l’acide fluorhydrique est utilisé pour la gravure du verre, on peut imaginer son pouvoir de destruction. Alors qu’avec CALCAREA FLUORICA, les troubles sont moins lésionnels, moins destructeurs. Et comme il est un composant naturel de la matière vivante, ce médicament joue un rôle préventif et curatif des perturbations de la croissance, ce que ne fait pas FLUORIC ACID. La Matière médicale de ce médicament concerne les mêmes cibles que celles de CALCAREA FLUORICA = les tissus riches en fluor, dont les dents, les os, le tissu fibro-conjonctif, la peau et les phanères.
Selon l’âge de la décompensation, qui se produit par les mêmes causes que pour CALCAREA FLUORICA, l’atteinte des dents sera nuancée, allant d’une simple altération modérée de l’émail à des destructions très importantes dont la fluorose chronique rend compte. A noter chez ces sujets la fréquence des complications apicales avec suppuration, et surtout une fistule dont l’orifice est particulièrement irritant (au contraire de SILICEA). C’est chez les enfants FLUOR ACID. que l’on trouve le tableau clinique de la mélanodontie ou plus généralement celui d’une atteinte de toutes les dents de lait qui sont rapidement détruites avec le cortège habituel d’abcès, de suppuration, de parulie ou de fistules. Chez l’adulte, ancien CALCAREA FLUORICA, on constatera surtout une atteinte des procès alvéolaire avec destruction. C’est donc avant tout un remède de parodontopathie. On trouve ce médicament encore indiqué dans les formes disons moins graves pour les caries des collets radiculaires. Ou encore pour des ulcérations linguales à tendance phagédénique.
Il ne faut oublier que le fluor est un halogène, il peut être indiqué dans l’hyperthyroïdie et d’une manière plus générale dans les troubles résultant de la mise en œuvre du mode tuberculinique dans sa phase dite « oxygénoïde ». A ce titre, il faut comparer FLUORIC ACID. à IODUM, dont il partage l’appétit nettement augmenté et la thermophobie, sans oublier la tendance aux indurations et hypertrophies des glandes. Nous avons souvent souligné les conséquences parfois graves pour la minéralisation des dents lorsque les deux modes tuberculinique et luétique sont mis en œuvre simultanément, le premier posant le problème des minéraux dont a besoin la dent et qui peuvent manquer parce que utilisés ailleurs, le second expliquant les perturbations de la croissance par suite des inflammations oblitérantes des vaisseaux.
CALCAREA FLUORICA et FLUORIC ACID. se ressemblent sur bien des points, bien que le second offre plus de lésions. L’une des principales différences concerne le comportement vis-à-vis des facteurs climatiques. La présence de l’élément « carbone » dans le premier explique la frilosité, signe commun à tous les Calcarea. FLUORIC ACID. est un thermophobe, il est aggravé par la chaleur sous toutes ses formes et amélioré par le froid (applications froides notamment).
L’autre différence concerne le comportement. Le fluor favorise la dépression, alors que l’acide entraîne une faiblesse irritable. FLUORIC ACID., synthèse des deux, présente une très grande instabilité mentale, qui est par ailleurs l’une des caractéristiques du mode luétique. Ce n’est certes pas par hasard. L’instabilité mentale s’exprime par une double tendance, qui correspond aux deux phases successives de l’action d’un toxique, excitation d’abord puis dépression. FLUORIC ACID. est donc un exalté vite enthousiaste, mais découragé rapidement. Il manque de persévérance dans tout ce qu’il entreprend et son instabilité explique ses besoins de changement (profession, vie affective, etc...).
Encore une fois, Kent cite ce médicament au degré fort pour le ptyalisme mais n'en parle pas dans sa Matière médicale ! Pas plus d'ailleurs que la plupart des autres livres sur ce sujet.
La présence de fluor et de l'acide explique les lésions dentaires avec les conséquences habituelles sur l'os = nécroses, fistules, suppurations, etc... C'est sans aucun doute dans ce contexte que peut se voir une hypersialorrhée.
IODUM :
Utilisé empiriquement depuis l’Antiquité sous forme d’éponges (Spongia tosta), l’iode n’a été découvert qu’en 1812 et HAHNEMANN a réalisé la première pathogénésie. L’iode joue un rôle métabolique très important à travers les hormones thyroïdiennes, mais il peut avoir aussi une action toxique. Ce médicament a été décrit dans notre cours sur le mode réactionnel tuberculinique. Son action dans ce mode réactionnel découle des troubles de la fonction thyroïdienne, notamment dans l’hyperthyroïdie (ou la dysthyroïdie) qui présente de très nombreuses similitudes avec la phase dite « oxygénoïde » de ce mode réactionnel. C’est le cas pour tous les halogènes comme le chlore, le brome, le fluor.
Dans le mode luétique, c’est essentiellement l’action toxique qui explique le rôle de IODUM = irritation avec congestion, hypertrophie des tissus atteints, puis induration et atrophie et sclérose finale. De plus, l’iode a une action toxique sur les muqueuses, les séreuses, l’os, les tissus lympho-ganglionnaires, le tissu conjonctif et enfin sur le système nerveux.
Au niveau des muqueuses en particulier, l’iode provoque une irritation qui entraîne un catarrhe, une induration de la zone concernée, aboutissant à une ulcération. C’est ce qui se passe au niveau de la muqueuse buccale :
Aphtes (notamment de la langue) et ulcérations de toute la muqueuse.
Gingivite ulcéreuse, gencive spongieuse, d’aspect scorbutique, douloureuse, molle, saignant facilement.
Gingivite « expulsive » selon DUPRAT. Rétractions gingivales et mobilités dentaires.
Hypersalivation avec haleine fétide, pire le matin au réveil.
Glossite avec brûlure (à la pointe), la langue garde l’empreinte des dents, langue sèche.
Caries dentaires, notamment aux collets. Douleurs dentaires.
Ces troubles bucco-dentaires doivent être compris dans le contexte de IODUM = amaigrissement rapide malgré un appétit augmenté - Faim importante qui retentit sur le comportement = agité et excité si le repas tarde, amélioration en mangeant du psychisme et des troubles digestifs - thermophobie, sensations constantes de chaleur générale, de brûlures au niveau des muqueuses - Sensations de battements, de pulsations artérielles, palpitations violentes et rapides au moindre effort avec sensation que le cœur est serré comme par une main, sensation pire à l’effort.
L’aggravation par la chaleur sous toutes ses formes est bien connue et constitue un signe éliminateur.
Chez l’enfant et chez l’adolescent, IODUM correspond surtout au mode réactionnel tuberculinique. Alors que chez l’adulte, les deux modes tuberculinique et luétique sont mis en œuvre simultanément. On retrouve donc les grandes tendances déjà décrites. Mais les troubles digestifs sont sans doute l’explication de la dégradation du parodonte. Ces troubles ressemblent à ceux de LYCOPODIUM = insuffisance hépatique avec hypertrophie et induration, dyspepsie flatulente, gastralgies avec crampes, aigreurs, brûlures, aérophagie, distension et borborygmes, constipation opiniâtre (si domine le mode tuberculinique) avec crises diarrhéiques, notamment après absorption de lait, etc... Nous avons souvent souligné les conséquences de l’insuffisance hépatique sur l’élaboration des Ig A salivaires (composant sécrétoire). C’est peut-être ce mécanisme qui peut expliquer l’évolution d’une gingivite ulcéreuse vers une véritable maladie parodontale.
IPECA
Il s'agit d'une rubiacée = ipecacuanha ou radix bresiliensis, émétique bien connu. IPECA est un médicament fréquemment utilisé contre la NAUSEE, à condition de retrouver quelques signes = violence de la nausée, persistance, aggravée au moindre mouvement. Mais, LA LANGUE RESTE PROPRE, car il ne s'agit pas d'une nausée d'origine digestive mais par action sur le système nerveux (pneumogastrique). Cette nausée s'accompagne très souvent d'une hypersalivation, avec absence de soif, dégoût pour tous les aliments, fréquence des tiraillements spasmodiques des muscles du visage et des lèvres, irritabilité du caractère lors des états nauséeux
KALI CARBONICUM (le carbonate de potasse)
On sait depuis H. BERNARD que le stade potassium caractérise une dégradation générale et locale, en tout cas une étape importante de la décompensation. Chez les sujets répondant à ce médicament, il y a un ralentissement métabolique (mise en œuvre du mode sycotique) et une dépression à tous les niveaux (circulatoire, mental, respiratoire, digestif, nerveux). Sur ce fond dépressif, l’élément potassium ajoute des épisodes inflammatoires aigus, courts mais intenses.
Le patient qui vient au cabinet dentaire est profondément déprimé, semble épuisé (il relève souvent d’une maladie débilitante ou vient de traverser une période difficile de surmenage, ou d’accouchement ou d’avortement pénibles...). Il est irritable, impatient, hypersensible (au bruit, au contact), peureux. Il est faible, frileux et frissonnant (avec phobies des courants d’air, sueurs faciles au moindre effort). Il a une tendance générale à l’anémie, à la bouffissure (dont le fameux oedème de l’angle interne des paupières supérieures).
Ce patient vient consulter son dentiste pour les troubles suivants :
Sensation de sécheresse malgré une accumulation de salive
Inflammation, gonflement et ulcérations de la gencives
La gencive se décolle des dents et s’en sépare, les dents se carient et les avulsions sont souvent inévitables
Pus suintant aux collets
Petites plaques d’ulcérations disséminées dans la bouche
Salivation abondante
Odontalgies après avoir eu froid, douleurs lancinantes même dans des dents saines.
Odontalgies seulement en mangeant, ou le matin au réveil, ou provoquées par le froid (aliments ou boissons)
Ondontalgies avec endolorissement des os de la face, douleurs lancinantes, déchirantes, surtout le soir au lit.
Il est évident que l’état général et local laisse peu d’espoir quant aux suites d’une chirurgie réparatrice. La solution prothétique s’impose souvent.
HYDROPHOBINUM ou LYSSINUM
MAGNESIA MURIATICA (le chlorure de magnésie)
Médicament de sensations de brûlure ressenties dans la bouche. Cette brûlure buccale fait partie d’un syndrome digestif chez un sujet "hépatique" nerveux, agité et constipé : nausées avec pyrosis, langue chargée d’un enduit jaune épais, la langue garde l’empreinte des dents, douleurs dentaires avec sensation que les incisives supérieures sont trop longues et hypersensibilité au contact. Le foie surtout est concerné : augmentation de volume, douleurs aggravées par le toucher, ou couché sur le côté droit, peau plus ou moins ictérique. La constipation est de règle avec des selles dures, petites, comme des crottes de brebis, difficiles à expulser. La présence de magnésium explique sans doute les douleurs crampoïdes ou tiraillantes dans l’abdomen et dans l’hypocondre droit. De nombreux troubles digestifs peuvent être provoqués par l’intolérance au lait ou par abus d’aliments salés : dyspepsie avec pyrosis, gastralgie, dyskinésie biliaire avec la constipation.... Mais l'hypersalivation manque dans les livres de Matière Médicale. Et pourtant Kent le cite au degré fort !
L’autre pôle d’action de ce chlorure de magnésium est l’appareil génito-urinaire : dysménorrhée spasmodique avec des règles précoces, abondantes, noires, très douloureuses = douleurs crampoïdes dans le dos améliorées par une pression forte sur les reins - miction en goutte à goutte, ténesme urinaire, difficultés pour uriner.
On dit souvent dans la presse que la spasmophilie est une maladie française. C’est peut-être possible mais quoiqu’il en soit, MAGNESIA MURIATICA est l’un des remèdes possibles. Les douleurs dentaires en font partie, comme la céphalée temporale avec sensation vertigineuse et tendance lipothymique, etc...
Haleine fétide, nauséabonde, qui se répand dans la pièce et donc perceptible à distance du patient.
Hypersalivation fétide, visqueuse, qui tache l’oreiller car elle est très nettement augmentée la nuit (modalité d’aggravation du remède et du mode tuberculinique).
Gencive enflammée, oedématiée, ulcérée, sanguinolente au moindre contact. Gingivite d’aspect scorbutique. Maladie parodontale avec poches suppurées.
Langue étalée, flasque et enflée, gardant l’empreinte des dents, sale ou saburrale (enduit jaunâtre nauséabond). Langue parfois fissurée.
Tremblement de la langue lors de sa protrusion (tremblement mercuriel).
Tendance aux caries dentaires (3°d) dont celles des collets.
Douleurs dentaires, pires la nuit, aggravées par les boissons chaudes ou froides (températures extrêmes)
Aphtes (degré fort), n’importe où dans la bouche mais aussi au niveau de la langue (2°d).
Douleurs brûlantes dans toute la bouche ou au niveau de la langue.
Nombreuses dysgueusies : goût amer (3°d), sucré (3°d), insipide (3°d), mauvais goût (3°d), goût métallique (3°d), goût salé (3°d), goût acide (2°d), goût vaseux (3°d).
Mucosités.
Sécheresse de la bouche et de la langue (3°d) ou du palais (2°).
Sensation d’agacement des dents ou qu’elles sont trop longues.
MERCURIUS SOLUBILIS et CORROSIVUS (le mercure soluble de Hahnemann et le sublimé corrosif)
Les signes bucco-dentaires :
Mercurius solubilis chez l’adulte :
Une fois encore, une situation complexe sur le plan diathésique se retrouve chez l’adulte Mercurius. Le mercure, il faut le rappeler, est un toxique puissant et surtout une substance étrangère à l’organisme, il peut donc intoxiquer n’importe qui. Il y a adéquation entre les troubles qu’il produit et ceux de la syphilis et d’une manière plus générale ceux du mode luétique, chez n’importe quel sujet.
Le patient Mercurius consulte son dentiste le plus souvent pour une gingivite ulcéro-nécrotique avec les signes décrits plus haut, ou encore pour une aphtose buccale aiguë ou chronique. Ces troubles buccaux peuvent être plus ou moins isolés, mais ils se produisent le plus souvent dans un contexte digestif = foie gros et douloureux au toucher ou couché sur le côté droit, digestion lente avec des renvois, des régurgitations (liquide rance), des nausées, des brûlures (pyrosis), de la flatulence abdominale (ventre dur, sensible au toucher) et de temps en temps des périodes de diarrhée, souvent hémorragique, presque toujours suivie de ténesme. La colite ulcéreuse est fréquente, ou la recto-colite, souvent par suite d’amibiase. Rappelons qu’en 1972, notre confrère Jean LEGER a soutenu la thèse de rapports de cause à effet entre l’amibiase sous sa forme neuro-végétative, donc la moins connue, et la maladie parodontale. Il expliquait que cette maladie souvent oubliée pouvait concerner une grande partie de la population de la région parisienne (plus du tiers !). Dans ce contexte digestif, le remède le plus voisin est NATRUM SULFURICUM, car ils ont plusieurs troubles en commun, comme la sensibilité au froid humide.
MERCURIUS SOL. peut également avoir une insuffisance rénale, ce qui explique l’atteinte parodontale. Ainsi, par action sur la fonction hépatique dont on connaît les conséquences bucco-dentaires ou par action sur la fonction rénale, les facteurs généraux de la maladie parodontale sont réunis pour en expliquer sa fréquence, son évolution et sa gravité. D’où deux évidences =la chirurgie parodontale sera déconseillée sous peine de récidive rapide et ce aussi longtemps que les deux fonctions hépatique et rénale ne seront pas rétablies - et comme le traitement des troubles buccaux passe d’abord par celui des causes générales, cela exige la prise en charge par le médecin. Mais il existe des formes encore discrètes qui s’expriment par une hypersalivation nauséabonde, par le goût métallique prononcée et par des sueurs surtout nocturnes laissant le patient mal à l’aise, alors que l’état gingival et surtout parodontal n’est pas encore trop dégradé. Dans ces cas encore frustres sur le plan buccal, une action précoce de MERCURIUS SOL. donne de bons résultats. On peut voir encore ces patients pour une aphtose buccale, sans retrouver le contexte gingival ou parodontal. Il est alors parfois difficile de mettre en évidence ce médicament sur des signes encore peu nuancés et l’on hésite souvent entre plusieurs médicaments. C’est toute la difficulté de l’homéopathie, mais c’est aussi son avantage d’une action précoce et préventive sur les menaces connues parce que bien décrites dans la matière médicale.
Il est donc possible de mettre en évidence l’indication de MERCURIUS sur des signes encore banals, certainement réversibles à ce stade. Ensuite se pose le problème diathésique, après le choix du médicament semblable, c’est-à-dire le problème de la compréhension du problème buccal dans une histoire personnelle évolutive. Car une gingivite a toujours plusieurs significations et la prévention de la récidive doit tenir compte de chaque mode réactionnel mis en œuvre par chaque patient. MERCURIUS SOLUBILIS se trouve ainsi souvent indiqué du fait de la polarité buccale de son action toxique. Il est intéressant de noter qu’il se trouve plus souvent indiqué pour une pathologie aiguë que chronique. La pathologie aiguë peut être interprétée comme une tentative d’élimination chez un sujet psorique qui ne parvient plus à maintenir son équilibre par le seul mode psorique et qui met en oeuvre le mode luétique jusque-là en réserve, mode sollicité par son mode de vie, qui réunit plusieurs facteurs d’atteinte des fonctions hépatiques et rénales.
Commentaire d'Alain HORVILLEUR