SILICEA
CHEZ SON DENTISTE
L'ENFANT "SILICEA"
C’est le problème de la minéralisation des dents
(dont les séquelles sont souvent irréversibles)
On peut "naître" Silicea ou le devenir !
Un enfant peut sembler tout à fait en bonne santé et l'être réellement. Mais une série de facteurs peut faire apparaître l'indication de Silicea, qui ont déjà été décrits = des carences minérales par sous-alimentation ou troubles digestifs répétés, nombreuses vaccinations, une maladie ou des maladies infantiles ayant entraîné une convalescence très difficile.
Cet enfant devient pâle, maigrit, voit sa frilosité s'accentuer, devient nerveux, voire craintif, avec un regard caractéristique (photo de J. Jouanny), il se fatigue vite à l'école. Le signe qui révèle Silicea = des sueurs fétides des pieds apparaissent, inhabituelles. Sur le plan digestif, on peut voir le plus souvent une anorexie ou au contraire une boulimie inhabituelle, mais dans tous les cas une constipation provoquée ou aggravée par le lait de vache et une diarrhée par le lait maternel chez le nourrisson !
Photos
J. JOUANY
L'enfant né Silicea semble heureusement plus rare aujourd’hui du fait de la surveillance de la grossesse, du moins en Europe. Peut-être n'est ce qu'une impression personnelle car les facteurs étiologiques qui l'expliquent sont toujours présents. L'enfant n'a pas souffert de maladies particulières, ses vaccinations obligatoires semblent ne pas avoir entraîner de troubles. Et pourtant, un examen attentif, tant pédiatrique que stomatologique oriente vers Silicea. Chez un tout jeune enfant, il faut s'en préoccuper car la croissance est en marche et les répercussions bucco-dentaires sont parfois graves, sans négliger les autres conséquences.
En l'absence de facteurs étiologiques directs chez l'enfant, il faut envisager des causes qui concernent les parents. Roland ZISSU décrit 4 types de causes.
La tuberculose latente ou déclarées des procréateurs = deux types d'enfants en résultent => type SILICEA ou type PHOSPHORUS. Or la tuberculose n'a pas été éradiquée, les autorités sanitaires françaises dénombrent entre 5000 et 8000 cas par an, certes concernant surtout des populations immigrées, avec de plus une résistance du BK aux antibiotiques.
L'enfant SILICEA a généralement des yeux bleus (mais pas obligatoirement) largement ouverts, le front est large alors que la mandibule est souvent atrésique, ce qui explique les problèmes ODF. Cet enfant est particulièrement sensible sur le plan affectif = émotif, craintif (peurs irraisonnées), terreurs nocturnes, crises de colère, etc... Il a une tendance aux parasites intestinaux. Mais le pire danger est le rachitisme avec ses conséquences osseuses et bucco-dentaires.
La syphilis, qui n'a jamais disparue et que est elle aussi en recrudescence, surtout de puis l'apparition du SIDA.
L'alcoolisme, des parents en général et de la mère plus particulièrement durant la grossesse, problème dont on parle de plus en plus actuellement.
Des procréateurs trop âgés et à plus forte raison débilités. La tendance actuelle de favoriser des grossesses chez des femmes âgées est heureusement compensée par la prise en charge médicale.
Les conséquences bucco-dentaires chez enfants:
G. HODIAMONT annonçait la couleur: "Le manque de fixation des minéraux fera de lui un maigre, un malingre, éventuellement un rachitique… Cela pourra conduire à de graves troubles de la croissance, à des troubles de la dentition…".
Le premier risque est donc celui d’une minéralisation défectueuse des dents au cours de l’enfance. L’enfant tuberculinique, lorsqu’il est décompensé, a une croissance irrégulière, il grandit vite avec des poussées de croissance à la suite d’épisodes fébriles. Il est souvent pâle par anémie. Il est fatigable, frileux, constipé. Lorsqu’il ne supporte plus l’air confiné, la chaleur confinée, il faut se méfier, c’est une sonnette d’alarme car il a besoin d’oxygène et il en manque dans ces circonstances, plus qu’un autre. Il maigrit facilement malgré un appétit souvent au dessus de la moyenne. Lorsqu’il perd son appétit, c’est encore une sonnette d’alarme parce qu’il a besoin de minéraux et que l’anorexie le prive de la seule source d’apport. Enfin, il est vite fatigué et notamment le travail scolaire l’épuise et provoque parfois des céphalées. C’est encore une sonnette d’alarme. Pendant ces périodes, il y a conflit avec les minéraux. Il faut aussi se méfier particulièrement des troubles digestifs, surtout intestinaux. Car il y a un risque très important de malabsorption alors que l’apport peut être suffisant. Les troubles de la minéralisation des dents sont irréversibles, alors que le rachitisme a moins de conséquence sur le squelette.
Alors que peut faire le chirurgien-dentiste ? Normalement, il ne lui appartient pas de prendre en charge le traitement de fond car les problèmes dentaires ne sont là qu’un épiphénomène. Il peut demander la collaboration du médecin homéopathe, mais il a aussi le devoir de prescrire le médicament de fond correspondant pour amorcer le traitement, surtout si les parents ne souhaitent pas consulter un médecin homéopathe. Heureusement, les parents sont généralement très réceptifs aux conseils concernant leurs enfants et l’homéopathie est de mieux en mieux acceptée.
Le second risque est aussi menaçant pour la dent = c'est celui de la mise en œuvre simultanée du mode réactionnel luétique, du fait de facteurs étiologiques chez les parents, comme la syphilis et/ou l'alcoolisme. Chaque dentiste sait que la minéralisation d'une dent nécessite à l'évidence des minéraux mais également un système vasculaire optimal. Or le mode réactionnel luétique peut perturber la vascularisation des bourgeons dentaires. D'où une situation clinique complexe = les minéraux sont présents mais ne peuvent être utilisés favorablement par troubles vasculaires. Ou bien, les minéraux manquent, au moins par périodes. De toute façon, la dent est mal ou insuffisamment minéralisée.
LE PROBLEME DE LA CARIE DENTAIRE DE « SILICEA »
Tout d'abord, voici ce qu'écrivait J.T. KENT, dans sa Matière médicale = "Les dents se gâtent par suite de l'altération de leur émail, chez un sujet qui manque de silice, la dentine contient beaucoup de silicate de chaux; chez un tel individu, la surface de la dent devient rugueuse, perd son apparence émaillée et la carie s'installe peu à peu, surtout au niveau des collets. Les dents sont jaunes, se gâtent rapidement et au niveau des collets, elles se déchaussent, la gencive se rétractant" (KENT).
Il est évident que ce type de carie ne peut survenir que chez des sujets ayant une lourde hérédité tuberculinique et luétique, développant plus ou moins un rachitisme. Cette photo montre les différentes étapes:
Une dent devient sensible au froid et une vague opalescence apparaît dans sur l'émail.
L'opalescence devient une tache blanche, plus ou moins étendue.
La surface devient rugueuse, la couleur devient progressivement brune et une perte de substance débute.
Une carie est alors présente, la dentine devient brune ou sombre.
La perte de substance devient beaucoup plus importante.
L'image correspond à Silicea, mais aussi à Kreosotum et à Staphysagria.
Cette forme de carie acquise peut survenir à n'importe quel âge, mais elle semble peut-être plus fréquente à l'adolescence ou chez des adultes jeunes, sans exagération sur cette fréquente. Ce que nous voyons, ce sont des jeunes gens qui se plaignent de douleurs au froid sur des dents en apparence saines = air froid, boissons froides.
Quelle peut-être l'attitude du chirurgien-dentiste ?
Il faut bien le reconnaître, au stade de vagues douleurs au froid sur des dents saines, il est exceptionnel qu'un chirurgien-dentiste quelconque s'en préoccupe outre mesure, il se contente le plus souvent de conseiller des applications de fluor, qui améliorent très souvent.
Que ce soit chez l'enfant ou chez l'adulte, l'attitude du chirurgien-dentiste homéopathe est déterminée par le contexte:
Il n'y a pas encore ébauche d'une lésion carieuse:
La prévention classique s'impose par des applications de fluor, des conseils d'hygiène. Puis il faut penser à la prévention homéopathique = anamnèse complète et minutieuse à la recherche du "remède de fond", souvent Silicea.
Il ne faut pas oublier que ce type de pathologie exige un traitement de longue durée, il faut prévenir le patient. C'est particulièrement le cas pour Silicea qui a une action lente du fait de son métabolisme. Ensuite, la silice n'est pas le seul minéral qui peut poser des problèmes et il ne faut pas oublier la vitamine D.
Il y a déjà une ou des lésions:
Ces lésions peuvent être plus ou moins discrètes (taches blanches) ou plus avancées (pertes de substances). De toute façon, il faut dispenser les soins dentaires et entreprendre le traitement homéopathique.
Nous avons vu souvent des taches blanches disparaître après plusieurs semaines de traitement, la sensibilité au froid diminuant progressivement, ce qui est un excellent signe.
LES COMPLICATIONS DE LA CARIE
Même actuellement, il est courant de voir des dentures très délabrées avec des lésions carieuses particulièrement abondantes ayant abouti à des destructions quasi totales. On peut voir aussi en encore aujourd'hui des dents traitées depuis longtemps et présenter des fistules.
Si le traitement endodontique est conduit correctement, la fistule disparaît plus ou moins rapidement. Si tel n'est pas le cas, trois médicaments peuvent être prescrits selon le contexte clinique:
Surtout SILICEA, remède de la suppuration chronique sans tendance à la guérison, sans signe inflammatoire. Remède d'élimination de corps étranger (pâte canalaire en excès dans le péri-apex). Commencer par une basse dilution d’action centrifuge deux fois par jour, puis élever la dilution jusqu'à amélioration (action lente).
FLUORIC ACID. (acide fluorhydrique) a une action élective sur la suppuration osseuse avec fistule très pruriante, pus corrosif et irritant, élimination d'esquilles osseuses. Son indication exige une similitude plus grande que les seuls signes locaux: sujet dystrophique, ne supportant pas la chaleur, ayant une tendance aux caries dentaires délabrantes, notamment par atteinte de l'émail (mode réactionnel luétique).
HEKLA LAVA (lave volcanique du Mont Hekla en Islande) est un "petit" remède (pathogénésie limitée) de suppuration osseuse plus ou moins chronique avec induration douloureuse de la zone atteinte, notamment de parodontopathies. On le donne en 5 CH une à trois fois par jour jusqu'à l'amélioration
Fistules moins fréquentes de nos jours
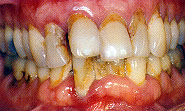
LA MALADIE PARODONTALE
elle concerne l'adulte
La matière médicale est explicite (et elle a la priorité !): "La gencive se rétracte" (Kent), "Mal de dents dont la douleur est profondément située, dans le périoste, dans la gaine fibreuse des racines et qu'un abcès s'est formé. Abcès à la racine des dents. Pyorrhée; abcès aux gencives…" (Lathoud).
Silicea n'est pratiquement jamais un médicament de début de maladie, notamment dans les maladies parodontales. Certes, il est évidemment possible, voire fréquent, de voir des patients arriver à la consultation avec une maladie parodontale déjà très grave et ayant besoin de Silicea.
Lorsque l’on voit un patient présentant une maladie parodontale comme celles ci-dessus, il est évident qu’il faut commencer par réaliser les soins nécessaires. Si Silicea est indiqué après une étude minutieuse des symptômes locaux et généraux, et même après une anamnèse précise. Mais, Silicea n’a pas d’action immédiate, il a au contraire, une action lente, très lente. D’ailleurs, sa pathogénésie a été surtout réalisée chez des sujets atteints de silicose.
Il est donc utile de proposer des médicaments d’action plus rapide et plus ponctuelle sur les signes buccaux, notamment sur la suppuration. On peut penser à l’un des médicaments suivants :
HEPAR SULFUR :
Ce médicament est préparé en calcinant en parties égales de la fleur de soufre (Sulfur) et du carbonate de chaux impur provenant de la couche moyenne de l’écaille d’huître (Calcarea carbonica). Sa pathogénésie reflète ses deux composants mais le mode de préparation explique la présence de symptômes différents de ses deux composants, qui en font un remède de fond de nombreux troubles, dont la carie dentaire et le rachitisme. Sa prescription dans un processus suppuré aigu est justifiée lorsque les signes suivants sont présents :
Inflammation aiguë avec suppuration avec des douleurs violentes (la sensation d’écharde décrite dans les livres n’est pas constante lors d’un abcès dentaire).
Hyperesthésie sensorielle à la douleur = le patient ne supporte pas le moindre attouchement ou contact de la zone douloureuse (il est donc difficile d’apprécier le stade évolutif).
Aggravation par le froid et surtout les courants d’air (le patient s’enveloppe souvent la tête dans un foulard).
Amélioration par la chaleur (compresses chaudes).
Souvent le pus a une odeur désagréable qui rappelle le “ vieux fromage ” (signe inconstant dans un abcès dentaire).
Suppuration parfois chronique, que l’on oublie trop souvent.
En fait Hepar sulfur « couvre » toutes les étapes de la suppuration, le plus souvent dans les cas aigus. Mais ne pas oublier que c'est aussi un médicament de fond avec deux versants = le versant « carbonique » dû à Calcarea carbonica et le versant éliminatoire dû à Sulfur. La dilution tient compte de l’état de la suppuration = s’il y a une suppuration, même discrète, il faut commencer par une 4 ou 5 CH et poursuivre en élevant la dilution.
PYROGENIUM :
Il s’agit d’un biothérapique que l’on utilise en homéopathie depuis 1880 et qui est préparé à partir d’un lysat septique de viandes animales et de placenta humain. Il contiendrait des produits de dégradation, des germes variés et des substances pyrogènes. Il a fait l’objet d’une pathogénésie mais c’est surtout l’usage clinique qui a confirmé son activité dans tous les processus infectieux et suppurés : abcès, furoncles, anthrax, plaies et blessures infectées, otites, sinusites, fistules, etc....
La matière médicale ajoute :
Suite de tous états septiques avec prostration, agitation (le lit paraît trop dur), endolorissement général, sensation de meurtrissure, de courbature, de brisure.
Discordance entre le pouls et la température.
Fétidité de toutes les sécrétions et excrétions: haleine, sueurs, urines.
Autre indication = suite d’intoxication alimentaire par produits avariés (Arsenicum album).
Bien entendu, on le prescrit sur la seule notion de processus suppuré sans attendre le tableau clinique d’une grave atteinte de l’état général.
ECHINACEA ANGUSTIFOLIA :
Cette composée est utilisée empiriquement en homéopathie contre les suppurations de toutes sortes. Des études récentes ont montré que la plante fraîche avait bien une activité immunostimulante et anti-inflammatoire en basse dilution (3 à 6 DH) et immunosuppressive en haute dilution.
La matière médicale montre bien quelques signes = asthénie, adynamie, sensation d’épuisement, courbatures ressenties dans les membres. Mais il est essentiellement prescrit lors d’un processus suppuré, quel qu’il soit, soit en 4 CH, soit en 6 DH (quelques gouttes dans un peu d’eau deux à trois fois par jour), le plus souvent associé à d’autres remèdes.
CALENDULA :
Utilisée empiriquement dans les plaies infectées, cette composée (le souci des jardins) a vu, elle aussi, son action confirmée par des études récentes.
Ses différents composants expliquent une action anti-infectieuse, antibiotique, antifongique, anti-inflammatoire, etc...
On l’utilise souvent en bains de bouche (quelques gouttes de T.M. dans un peu d’eau), soit en 4 ou 5 CH deux à trois fois par jour, soit au cours et après la chirurgie dentaire à titre préventif, soit à titre curatif.
On peut envisager également :
SIEGESBECKIA :
L’herbe divine peut être un petit remède de suppuration surtout chronique. Sa pathogénésie limitée le confine à une action ponctuelle, complémentaire éventuellement de Silicea = suppuration n’importe où dans l’organisme, indiqué aussi bien lorsque le pus est collecté ou lorsqu’il est en train de se collecter, avec ou sans douleur (contact) et accompagnée ou non de fistulisation. Il complète bien Silicea.
On le donne classiquement dans les ostéites, les mastoïdites, les otites, etc...
Le plus utile sans doute = MICA
Le plus utile parce qu’il s’agit d’un double silicate d’alumine et de potassium. La matière médicale précise : "Les dents se déchaussent et remuent dans leurs alvéoles".
Cependant, ces signes ne suffisent pas. Il faut que le patient ait une mauvaise nutrition par mauvaise assimilation, qu'il manque de chaleur "vitale", qu'il soit sensible au froid. Le comportement évoque également Silicea = sujet découragé, désespéré de guérir, dégoûté de la vie, constamment irritable et de mauvaise humeur, ne veut pas manger (toute nourriture l'écoeure et surtout ne voit pas l'intérêt de prolonger une vie aussi triste !).
Ce médicament est sans doute plus utile chez des sujets insuffisants cardiaques, asthéniques, avec des engourdissements cutanés et des douleurs dans les membres.
On voit donc qu'il complète bien Silicea. On le prescrit en 5 CH une à deux fois par jour puis en 9 CH dès amélioration.
oOo
On vient de voir que SILICEA a besoin d’être encadré par des médicaments d’action limitée et ponctuelle qui le complète. Il y a aussi une explication = la lenteur de l’action de ce minéral. Il faut le donner durant plusieurs semaines, voire plusieurs mois. Cela ne pose pas de problème devant une parodontopathie déjà évoluée, qui nécessite de nombreux traitements, chirurgicaux souvent. On peut même dire que si l’on se contente de cureter les poches parodontales, il y a une forte probabilité de récidive, faute d’une action sur le « terrain ».
LES AUTRES INDICATIONS
BUCCO-DENTAIRES DE SILICEA
D’abord voici ce que l’on peut lire dans la matière médicale de J. A. LATHOUD :
" Il y a, au niveau des lèvres, des symptômes marqués. D'abord la lèvre supérieure est souvent gonflée comme dans Hepar sulfur. D'une manière générale, les lèvres sont gercées, sèches, fendillée, squameuses, particulièrement au niveau du bord externe; il y a tout le long de leur rebord un liseré crevassé, croûteux. Egalement, leurs commissures peuvent être ulcérées, crevassées (Ammonium carbonicum, Arum triphyllum, Condurango, Graphites, Natrum muriaticum, Nitri acidum, Hepar sulfur).
La bouche est sèche et cela peut s'accompagner d'une soif vive.
La langue est revêtue d'un enduit brunâtre, est tuméfiée, excoriée, paraissant engourdie. On a noté à ce niveau un symptôme particulier: sensation d'un cheveu sur la langue au degré fort = Allium sativum (a cette sensation au degré faible, marquée surtout la nuit et le matin) – Natrum muriaticum – Natrum phosphoricum (surtout à la pointe de la langue) – Kali bichromicum (à la base de la langue).
Les dents se gâtent par suite de l'altération de leur émail chez le sujet qui manque de silice, chez lequel la déminéralisation de Silicea est marquée. La dentine contient en effet beaucoup de silicate de chaux et chez un tel individu, la surface de la dent devient rugueuse, perd son apparence émaillée et la carie peu à peu s'installe. Ceci est surtout marqué au niveau du collet (Kent).
Les dents font mal quand le temps est humide et froid; maux de dents par un temps pluvieux.
Les dents sont jaunes, elles se gâtent rapidement et au niveau des collets, elles se déchaussent, la gencive se rétractant (Kent).
Violent mal de dents la nuit, quand ni la chaleur ni le froid ne soulagent et après que le sujet a eu très froid aux pieds.
Cependant, il faut noter que, d'une manière générale, les maux de dents de Silicea sont améliorés dans une chambre chaude, par les boissons chaudes.
Mal de dents dont la douleur est profondément située dans le périoste, dans la gaine fibreuse des racines et qu'un abcès s'est formé; fistules dentaires; abcès à la racine des dents. Pyorrhée (Mercurius solubilis). Gencives gonflées et sensibles au froid.
Chez l'enfant, la dentition est difficile.
Gonflement et induration des glandes salivaires, surtout des parotides; les parotides grossissent à chaque rhume et deviennent dures…".
Commentaires:
Comme on peut le constater les signes bucco-dentaires de Silicea sont nombreux. On peut constater aussi que chacun d'entre eux évoque tel ou tel médicaments. C'est là tout le problème de l'homéopathie car, pour résoudre l'équation de la similitude, il est nécessaire de faire la synthèse et de déterminer le médicament qui a le plus de signes du malade, de préférence des signes hautement hiérarchisés.
C'est là que le recours à l'informatique rend d'immenses services par la rapidité, le temps gagné sur la recherche manuelle pouvant être consacré à l'approfondissement de l'observation.
Cependant, il ne faut pas croire que le répertoire informatisé va dispenser le praticien de tout effort intellectuel !!! Pour commencer, il faut apprendre à s'en servir. Par exemple, le terme de "perlèche" n'est pas dans le Répertoire de Kent, qui classe les symptômes tels qu'apparus lors de l'expérimentation pathogénétique sans corrélation avec une maladie précise. « L’homéopathie soigne des malades, non des maladies ». Il faut donc chercher à "Lèvres crevassées, aux commissures". Et l'on trouve 25 remèdes. Ce problème n’est pas spécifique aux logiciels d’homéopathie car ceux-ci ne sont généralement que la traduction informatique des répertoires en papier.
Une indication souvent méconnue ou oubliée : l’élimination de corps étrangers
Silicea a un pouvoir éliminateur étonnant vis-à-vis de corps étrangers ou de séquestres osseux. H. VOISIN précise qu’il semble que cette action est encore plus manifeste lorsqu’il existe ou a existé un commencement de suppuration ou si le séquestre est dû à une ostéite ou une arthrite chronique suppurée.
Mais l’action est également efficace lorsque le corps étranger est enkysté et entouré de tissus fibreux. Il faut y penser en cas par exemple d’un apex dentaire ou d’un séquestre osseux après extraction.
Il est évident qu’il faut commencer par une basse dilution d’action centrifuge suffisamment longtemps et contrôler l’évolution du séquestre par des radios.
CONCLUSION
SILICEA est le type même de médicament de fond, ce qui s'explique par sa double action = métabolique et toxique.
La première action, métabolique, s'explique par la présence de silice dans l'organisme dans lequel elle joue un rôle éminent dans la croissance et le développement osseux et dentaire, alors même qu'elle n'est présente qu'en faible quantité. La silice joue également un rôle dans les systèmes immunitaires. La perturbation de son métabolisme explique le rôle de Silicea dans les processus suppurés. Mais, à l'image de son métabolisme très ralenti, Silicea n'intervient que la suppuration chronique.
L'idéal est de pouvoir le prescrire suffisamment longtemps avant les troubles, ce qui suppose une consultation précoce et tout de même quelques signes d'appel encore très discrets, comme par exemple de légères opalescences de l'émail ou une sensibilité anormale au froid.