LEUCOPLASIES ET PERLECHES
DEUX AFFECTIONS COURANTES DE LA BOUCHE, MAIS DISTINCTES
I
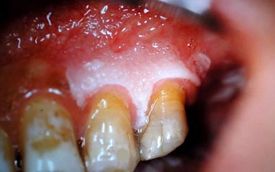
LA LEUCOPLASIE BUCCALE
La leucoplasie fait partie des kératoses buccales. Ce qui signifie que cette lésion apparaissant sous forme de taches blanches est constituée d’une kératinisation de l’épithélium. Selon le Dictionnaire de Médecine Flammarion, la « kératinisation est un processus complexe au cours duquel les cellules de l’épiderme issues des cellules de la couche basale ou kératinocytes, deviennent au terme de profondes transformations, des cellules cornées superficielles, anucléées et riches en kératine ». Selon M. DECHAUME, la leucoplasie est une lésion double, portant sur l’épithélium mais également sur le chorion sous-jacent. Au niveau de ce dernier, il existe une infiltration variable de cellules rondes autour des vaisseaux, parfois des lésions d’endo-périvascularite et de sclérose conjonctive. A l’évidence pour les homéopathes, l’endo-périvascularite évoque le mode réactionnel luétique. Par ailleurs, DECHAUME affirme que lorsque la leucoplasie résulte d’irritations externes, c’est la couche superficielle de l’épithélium qui se kératinise, alors que la leucoplasie syphilitique débute dans le chorion.
L’étiologie de la leucoplasie valorise certains causes locales: tabac surtout, ensuite les irritations provoquées par des dents cariées avec arêtes vives, l’électrogalvanisme buccal favorisé par la présence de plusieurs métaux, puis l’abus d’alcool ou d’épices. Parmi les causes générales, seule la syphilis est citée. Dans le Manuel MERCK, la leucoplasie est citée dans le chapitre des cancers buccaux, mais contrairement à une idée répandue, la leucoplasie n’est pas une lésion précancéreuse fréquente puisqu’elle ne concernerait que moins de 5% des cas.
La leucoplasie concerne surtout les hommes entre 30 et 50 ans. La localisation la plus fréquente est la région rétrocommissurale sur la face interne des joues (leucoplasie labiale des fumeurs décrite par Lortat-Jacob). Puis la langue arrive en deuxième position: moitié antérieure, face dorsale.
Plusieurs formes cliniques sont décrites: la leucokératose encore appelée leucoplasie verruqueuse, qui selon DECHAUME serait le prélude habituel à la cancérisation - l’ulcère leucoplasique s’aggraverait également par cancérisation.
L’évolution est généralement longue. Avec une bonne hygiène, la lésion peut rester stable, parfois guérir, mais aussi récidiver ou donner lieu à une évolution cancéreuse, minimisée par les auteurs du Manuel MERCK.
Le traitement en médecine classique:
La suppression des causes locales est obligatoire, et c’est normal: suppression du tabac, de l’alcool, des épines irritatives locales. DECHAUME reconnaît que le traitement antisyphilitique améliore mais ne guérit pas la leucoplasie. Il conseille la biopsie, puis l’extirpation chirurgicale en cas de menace néoplasique. La radiothérapie est déconseillée, de même que les cautérisations.
Le traitement en médecine homéopathique:
Comme pour le lichen plan buccal, les références bibliographiques sont nulles. Dans un article de l’Information dentaire n°1 du 29 mai 1969, J. JAKOWSKI reprend textuellement la formule de P. CHAVANON dans son livre déjà cité et dans lequel il y a quelques lignes sur « Lichen buccal et leucoplasie ». Pour rappel, la formule est la suivante, exprimée ainsi par JACOWSKI:
GRAPHITES 7 CH: 5 granules au réveil tous les 14 jours.
FLUOR ACID. 5 CH )
SILICEA 5 CH ) 2 gr. au réveil en alternance un jour sur deux.
TABACUM 5 CH : 2 granules vers midi.
NITRI ACID. 5 CH )
PHYTOLACCA 5 CH |) 2 gr. vers 18 heures, en alternance un jour sur deux.
Dans le Répertoire de KENT (Broussalian), on trouve cité les médicaments suivants (Chapitre Bouche - § Eruptions - page 233):
Hydrocotyle asiatica, Kali iodatum, Mercurius solubilis, Mercurius corrosivus, Mercurius iodatus ruber, Nitri acid., Sanguinaria.
Il semble utile de donner quelques précisions sur les médicaments cités et peu connus.
HYDROCOTYLE ASIATICA:
Il s’agit d’une ombellifère originaire d’Asie, indiquée dans les hypertrophies et les indurations du tissu conjonctif et de la peau avec desquamation. Dans les Matières Médicales, on ne trouve pas l’indication de la leucoplasie buccale. C’est un « petit » remède de psoriasis, d’ichtyose, de sclérodermie, de lupus non ulcéré, de prurit de la plante des pieds avec sueurs profuses des pieds, de la lèpre. VOISIN ajoute des indications génitales: ulcération du col de l’utérus, cancer utérin, métrite, prurit vaginal, leucorrhée profuse, brûlante et irritante. KOLLITSCH le classe dans le groupe « magnésium » et cite la syphilis cutanée.
MERCURIUS IODATUS RUBER ( OU BIIODATUS)
Ce bi-iodure de mercure est surtout connu pour son indication dans l’angine prédominant à gauche (contraire: mercurius proto-iodatus). Peut-on le donner comme complémentaire de MERCURIUS SOL. ou CORR., remèdes d’action plus générale, lorsqu’existe la localisation gauche ?
De toute façon, les « petits » remèdes ne peuvent être compris que comme des complémentaires de médicaments d’action générale, que l’on peut tenter dans le traitement de ces affections récidivantes et tenaces que sont le lichen plan et la leucoplasie. Mais on notera la prédominance des médicaments luétiques, ce qui n’étonne pas un praticien homéopathe. Nous renouvelons notre conseil de rechercher systématiquement le remède de fond.
KALI IODATUM:
Son action toxique explique des signes voisins de ceux du mercure: irritation catarrhale des muqueuses, atteinte ostéo-périostée, tendance aux ulcérations. La présence d’iode explique une tendance aux œdèmes des muqueuses atteintes (O.R.L., respiratoires), parfois une certaine tendance à l’hyperthyroïdie (< chaleur, agitation - c’est le seul KALI aggravé par la chaleur). Remède de coryza spasmodique, de sinusite frontale aiguë, de rhumatismes (< nuit, vent humide et chaud), de douleurs osseuses nocturnes, de goitre, KALI IODATUM est sur le plan buccal, un remède de gingivite ulcéreuse, d’aphtes, d’éruptions vésiculeuses, de glossite érythémateuse (brûlure au bout et sur les bords de la langue - langue hypertrophiée avec des vésicules brûlantes à la pointe).
II
LA PERLECHE
Il s’agit d’une affection streptococcique des commissures labiales. Par extension, on parle de perlèche chaque fois qu’il y a atteinte inflammatoire de la commissure labiale même si la cause n’est pas microbienne: origine mécanique par diminution de la dimension verticale (édenté), ou allergique ou mycosique (Candida albicans, cryptococcus) ou nutritionnelle (carence en vitamine B2 ou riboflavine, carence en fer). Il existe encore ce que l’on appelle une pseudo-perlèche syphilitique (papule fissuraire de la commissure).
Le traitement en médecine classique tient compte de la cause, comme d’ailleurs en homéopathie = pommade antibactérienne ou antimycosique, apport vitaminique ou nutritionnelle, pommade à l’eau d’Alibour.
Lorsqu’on parcourt la Matière Médicale ou un Répertoire, on retrouve une quarantaine de médicaments éventuels, regroupés dans un chapitre au titre générique de « Crevasses, fissures, gerçures, excoriations des commissures labiales ». Citons en quelques-uns: ANTIMONIUM CRUDUM, ARUM TRIPHYLLUM, CALCAREA CARBONICA, CAUSTICUM, CINNABARIS, GRAPHITES, HEPAR SULFUR, HYDRASTIS, KREOSOTUM, LYCOPODIUM, NATRUM MURIATICUM, NITRI ACID., PETROLEUM, PSORINUM, SEPIA, SILICEA, ZINCUM. Sont cités au degré fort: ARUM TRI., GRAPHITES, NITRI ACID. et CONDURANGO. Ce dernier mérite un commentaire, les autres étant très connus ou décrits dans d’autres chapitres.
CONDURANGO:
Il s’agit d’une liane de la Cordillère des Andes, appartenant à la famille des Asclépiadacées. Des études phytothérapiques ont confirmé son action cicatrisante des plaies sur peau saine (chez le rat) et des propriétés cytostatiques in vitro sur divers sarcomes et adénocarcinomes.
CONDURANGO est utilisé en homéopathie pour les douleurs du cancer de l’estomac ou de l’ulcère gastrique, plus que sur le cancer lui-même (douleurs constrictives et intermittentes de l’oesophage et de l’estomac avec sensation de brûlure rétrosternale). L’autre pôle d’action concerne les fissures ulcérées des commissures labiales et de l’anus.
M. GUERMONPREZ ajoute ce commentaire: « La pathogénésie est bizarrement partagée entre une manifestation bénigne, la perlèche, et une maladie grave sur laquelle CONDURANGO est sans doute inefficace: le cancer œsophagien ou gastrique évolué. Mais la perlèche ne traduit-elle pas la vulnérabilité générale, avec fissure et ulcération, de toute la muqueuse digestive, dans certains cas ? ».
A noter que la localisation aux extrémités du tube digestif évoque MURIATIC ACID., tandis que la prédilection pour les jonctions cutanéo-muqueuses fait penser à NITRI ACID.
H. VOISIN précise que la perlèche apparaît surtout chez des patients faibles et cachectiques. Si l’on se réfère à un article de Léon RENARD paru dans la revue « L’Homéopathie moderne » (1935 n°5), il semble que les auteurs du XIX°siècle étaient plus affirmatifs sur le rôle thérapeutique de CONDURANGO en cancérologie: sein, gorge, estomac, langue, lèvre... BURNETT publia de nombreuses observations sur son efficacité dans la perlèche et dans les fissures de la langue.
Quelques mots sur STREPTOCOCCINUM:
La perlèche peut être d’origine streptococcique. Cette cause implique au moins deux conséquences. D’abord, et comme il s’agit d’une infection particulièrement tenace et récidivante, il convient, en dehors des poussées aiguës, de donner des doses de STREPTOCOCCINUM (9 à 15 CH une fois par semaine). Ensuite, il est fréquent que le streptocoque entraîne une sensibilisation, voire une allergie. Il est donc logique d’ajouter POUMON HISTAMINE 15 CH en prises espacées, en alternance avec STREPTOCOCCINUM 9 ou 15 CH.
La seule notion d’infection streptococcique chronique justifie la prescription de STREPTOCOCCINUM. Mais il existe pour ce « biothérapique mineur » une pathogénésie clinique que l’on peut retrouver dans la revue l’Homéopathie Française (1959/n°4), article signé. SEVAUX et A. EMAR (« Contribution à l’étude de l’action biologique des dilutions homéopathiques: STREPTOCOCCINUM 7 CH et 9 CH). On lira aussi avec intérêt l’article de R. ZISSU publié dans la revue « L’Actualité homéopathique » (MASSON - 1989 N°4), intitulé: « Streptococcinum et les remèdes de couverture dans la prévention des rhino-pharyngites récidivantes ».
De cette pathogénésie clinique, voici quelques signes:
La langue se dépouille d’avant en arrière (scarlatine).
Langue blanche avec pointe rouge (Rhus tox.).
Foyer infectant dentaire, arthrite dentaire.
Gencives douloureuses, à la mastication.
Impression de lèvres salées.
Intolérance aux courants d’air (même celui provoqué par une personne auprès du patient).
Intolérance à la lumière, au bruit.
Cancérophobie, vertiges (en se levant et en se couchant, Romberg +). Désespéré, se croit incurable.
Pleure sans raison, redoute la pitié.
Hallucinations auditives (entend crier au secours) et visuelles (voit la chambre se remplir de milliers de mouches) - craint devenir fou.
Obséquiosité exagérée.
Migraines rebelles avec vomissements bilieux.
Cauchemars, rêve de bagarres.
Etc....