GINGIVITES ET TABAGISME
Docteur Bernard BOUFFLERS
La responsabilité du tabac comme facteur de risque majeur dans les maladies gingivales est admise par de nombreux auteurs, pratiquement tous..
Le tabac va agir sur la gencive et sur la flore buccale, rendant ainsi le patient fumeur plus susceptible aux gingivites. Chez ces patients, le risque de développer une maladie parodontale (environnement de la dent) est de 3 à 6 fois supérieur à celui des patients non-fumeurs : les patients fumeurs ont plus de plaque dentaire (futur tartre) et des espèces bactériennes plus virulentes.
Zarnbon et ses collaborateurs ont montré des pourcentages bactériens plus élevés pour A. actinomycetemcomitans, P. gingivalis et Bacteroides forsythius chez les fumeurs, la proportion de B. forsythius augmentant avec le nombre de cigarettes.
Le tabac altère les réactions de défense face à l'agression bactérienne :
les anticorps salivaires et sériques (IgA) sont moins nombreux chez les fumeurs, en particulier les anticorps contre P. intermedia et Fusobacterium nucleatum ;
le tabac peut également affecter la fonction des polynucléaires neutrophiles dont la phagocytose et la chimiotaxie vont être moins efficaces ;
la nicotine est responsable d'une diminution de la vascularisation gingivale, et elle inhibe la production de collagène et augmente l'activité de la collagènase ;
la production de cytokines ou de médiateurs de la réponse inflammatoire est également augmentée par le tabac, que ce soit l'interleukine produite par les ostéoblastes ou le Tumor Necrosis Factor alpha. On connaît le rôle destructeur de telles substances sur les tissus parodontaux ;
le tabac contient deux métaux lourds – le plomb et le cadmium – qui polluent l’organisme et réduisent les apports en vitamine C principalement d’où une forme de scorbut.
Les études concernant l'arrêt du tabac montrent une réversibilité de ses effets. Au bout d'un an de sevrage, la gencive tend à redevenir normale, elle perd son aspect fibrotique et violacé. P. & C. Mattout et H. Nowzari notent que le patient fumeur répond moins bien aux thérapeutiques parodontales et implantaires que le patient non-fumeur. Les techniques de régénération tissulaire guidée et de chirurgie plastique parodontale ne seront pas mises en œuvre chez le gros fumeur (consommation journalière supérieure à 20 cigarettes).
Photographie d'une gencive normale au niveau de la région incisive inférieure.
La muqueuse gingivale est rose clair,
fixée au collet des dents de façon discontinue, avec de fines languettes interdentaires entre ces attaches gingivales.
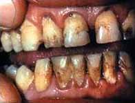
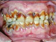
Très forte gingivite et inflammation de toute la muqueuse buccale chez un fumeur avec:
En général, une dépendance, comme celle au tabac, tend à émerger à la suite d'un désir frustré ou d'un besoin de combler quelque chose, comme peut-être un manque. Les causes peuvent comprendre des facteurs aussi divers que des pressions extérieures excessives, des difficultés financières ou un traumatisme émotionnel. Une dépendance peut manifester un profond besoin de cacher ou d'effacer nos problèmes, sans pour autant que cette nécessité s'inscrive dans un processus conscient. Le tabac permet de contenir nos sentiments. Mais la dépendance ne procure pas seulement un état de joie et de quiétude.
Au plus profond de lui-même, le fumeur sait qu’il se détruit.
Si nous sommes capables de reconnaître notre manque et tout ce qui lui est sous-jacent, nous avons alors certainement une chance de nous libérer de notre dépendance. Mais nous nous trouvons inévitablement confronté aux problèmes cachés par la dépendance : la peur de l'échec, les traumatismes passés.
Guérir d'une dépendance signifie retrouver sa capacité à s'accepter et devenir véritablement ami avec celui que nous sommes réellement. Cela signifie également faire face à la réalité de nos sentiments plutôt que de chercher à les éviter, et accepter cette réalité avec autant d'amour qu'il nous est possible.
Pour M. Guermonprez, la pathogénésie de Tabacum semble privilégier les malaises de la première cigarette par rapport aux effets chroniques du tabagisme. Elle ne mentionne en effet ni les maladies respiratoires chroniques, ni le cancer du fumeur.
Ce remède, outre le mal des transports, est cependant efficace dans certains angors, les artérites du fumeur, et à haute dilution, pour la dissuasion tabagique.
Seul signe gingival : mucosités blanchâtres et adhérentes devant être expectorées.
Les fumeurs sont souvent des gens qui ont de la difficulté à franchir chaque pas dans la vie et qui très anxieux en public:
se réfugient dans le tabagisme pour calmer leur angoisse
et recherchent le charbon végétal ( Carbo vegetabilis) comme stimulant.
Aussi, n’est-il pas étonnant que Carbo vegetabilis 15 CH soit le remède qui aide le plus le sevrage qui devra être progressif : diminuer chaque jour d'une cigarette. Si besoin, s'aider aussi de Tabacum 7 CH et de Caladium 15 CH (qui veut vivre « dans la fumée » pour ne plus voir les détails de la vie qui lui gâchent son plaisir).
Suivre ce lien => http://www.prevention-cancer-apic.com/photo.html