Les troubles de la fonction rénale (suite et fin)
PHOSPHORUS
Ce médicament, éminemment important du fait de sa double action métabolique et toxicologique, présente deux aspects opposés : son rôle métabolique explique son indication dans des troubles typiquement oxygénoïdes du sujet jeune longiligne réagissant sur le mode tuberculinique. Son action toxicologique concerne en fait une pathologie lourde ou grave chez n’importe quel sujet, quel que soit le biotype et diverses manifestations scléreuses du sujet âgé.
Ses circonstances étiologiques sont les suivantes : le surmenage intellectuel, les convalescences de maladies graves, les pertes de liquides organiques, les poussées de croissance trop rapide, les atteintes toxiques ou infectieuses du foie (hépatite virale par exemple). Toutes ces circonstances devraient entraîner des indications fréquentes, voire quotidiennes. C’est peut-être le cas en médecine générale, mais personnellement nous ne trouvons qu’exceptionnellement son indication chez l’enfant tuberculinique, peut-être un peu plus fréquemment chez l’adolescent. Il faut sans doute s’en réjouir. Avant les antibiotiques, PHOSPHORUS était utilisé avec succès dans la tuberculose ostéo-articulaire, mais avec beaucoup de risque d’aggravation dans la tuberculose pulmonaire, qui reste aujourd’hui encore une contre-indication.
Est-il utile de rappeler son type sensible ? Il est à l’évidence le même que CALCAREA PHOSPHORICA, car le phosphore a donné son nom à la constitution longiligne, longtemps appelée « phosphorique ». L’image de la flamme de phosphore qui s’embrase très vite mais s’éteint aussi vite illustre bien les troubles oxygénoïdes de l’enfant tuberculinique : sujet hypersensible, hyper-émotif, vite exalté et passionné, mais instable, aussi vite déprimé ou épuisé. C’est un hyper-thyroïdien, un hypersympathicotonique, un « cérébral » (de SIGAUD). La cyclothymie est encore plus manifeste que dans les autres médicaments de la série. A la phase sthénique, l’enfant peut être actif, brillant sur le plan scolaire, dominateur, charmeur, puis la phase dépressive apparaît avec apathie, aversion pour tout effort physique et surtout mental. Il devient alors susceptible, indifférent, pleure facilement. Ce sujet a toujours besoin de récupérer après un effort, il a besoin de dormir longtemps et beaucoup, il mange beaucoup et souvent, même la nuit, avec désir d’aliments salés et froids, sensation de vide et de défaillance s’il ne mange pas. Bref, on trouve des signes qui évoquent soit NATRUM MURIATICUM, soit IODUM, ou d’autres comme PHOSPHORIC ACID. son complémentaire aigu.
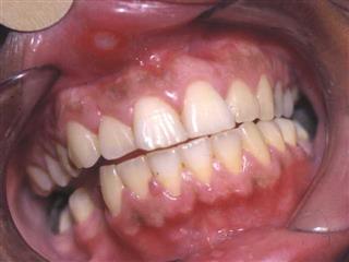
Les troubles bucco-dentaires de PHOSPHORUS ne sont pas spécifiques :
Lèvres sèches et parcheminées, saignement facile.
Gencive enflammée, œdématiée, ulcérée, suppurante et surtout gingivorragies très abondantes.
Aphtes sur la face interne des joues et des lèvres.
« Les dents se gâtent rapidement. Les gencives saignent et découvrent les dents » (Kent).
« Enflure, hypertrophie de la mandibule, nécrose et ostéite. Déchaussement des dents avec gingivorragies faciles »
Ce qui domine c’est la tendance hémorragique. En pratique courante, PHOSPHORUS est donné chaque fois que la pathologie locale évolue vers l’aggravation, malgré la prescription du remède correspondant qui semble pourtant bien indiqué, PHOSPHORIC ACID. par exemple lors d’une gingivite ulcéreuse aiguë. Ou encore lorsque NATRUM MURIATICUM semble inefficace.
Alors que le phosphore est un néphrotoxique important, les matières médicales n’insistent pas trop sur les signes rénaux = tendance à la dégénérescence graisseuse du foie, du cœur, du pancréas et des reins (urines peu abondantes, troubles, blanchâtres et à sédiment rougeâtre…).
Dans PHOSPHORUS, il y a une nette tendance aux troubles osseux = ostéites, tendance à la nécrose et à la suppuration, en autres au niveau des maxillaires. S’il y a conjonction de l’insuffisance rénale, de la détérioration de l’état général et d’une maladie parodontale et si l’on trouve les signes de PHOSPHORUS, nous conseillons personnellement de confier le traitement à un médecin homéopathe. PHOSPHORUS n’est pas un médicament facile à prescrire. Il faut se méfier des dilutions basses, en dessous de 5 CH ; des prises répétées, sans oublier la contre-indication absolue chez le tuberculeux.
Commentaire
d'Alain HORVILLEUR
NATRUM MURIATICUM
Le chlorure de sodium joue un rôle métabolique essentiel dans la régulation des échanges ioniques entre les cellules et le milieu intérieur. Aussi les fuites minérales dont le sodium, le chlore et le potassium entraînent-elles des troubles de la nutrition (amaigrissement prédominant à la moitié supérieure du corps et infiltration cellulitique de la moitié inférieure), une atteinte des muqueuses (avec alternance de sécheresse et d’un état catarrhal), des troubles cutanés (face huileuse, peau sèche ailleurs, eczéma « solaire », acné, urticaire, verrues, etc...), enfin des perturbations psychiques (déprime, asthénie psychique et physique, repliement sur soi avec besoin de solitude, aggravation par la consolation, etc...).
Il est classique de présenter les sujets répondant à NATRUM MURIATICUM comme des longilignes, maigres ou amaigris, réagissant électivement sur le mode tuberculinique. C’est le premier médicament de la déminéralisation cellulaire, conséquence de la déshydratation, elle-même consécutive aux fuites minérales. Mais il ne faut pas perdre de vue que le sodium est hydratant, et de plus déprimant et irritant. Autrement dit, avec le chlorure de sodium, il existe des perturbations du métabolisme de l’eau par conséquent de la fonction rénale. Aussi, existe-t-il des sujets dont le remède est NATRUM MUR. et qui ont tendance à la rétention d’eau, aux œdèmes, qui n’ont certes rien à voir avec ce que l’on retrouve dans NATRUM SULFURICUM.
NATRUM MURIATICUM est l’un des médicaments de l’insuffisance rénale, de la néphrite chronique avec rétention chlorurée, proche dans ce cas de ARSENICUM ALBUM du fait de la tendance à la cachexie, à l’amaigrissement avec asthénie et anémie. On constate une augmentation des urines qui sont colorées, chargées en sels, contenant un sédiment rouge comme de la brique pilée. Les envies sont fréquentes, il y a parfois une incontinence en marchant, ou même en éternuant.
Malgré quelques œdèmes plus ou moins discrets, il s’agit plutôt de bouffissures ici ou là, le sujet insuffisant rénal du type Natrum muriaticum est amaigri, visiblement déprimé, au comportement réservé, voire secret, qui répond par monosyllabes et avec une mauvaise volonté évidente. Il supporte mal les tentatives de compréhension, devient alors irritable. En l’interrogeant, on apprend qu’il souffre de céphalées battantes, de palpitations cardiaques à l’effort ou aux émotions. Il a parfois des crises d’asthme aggravées dans une pièce chaude et fermée, améliorées au grand air.
Sur le plan digestif, malgré la maigreur, l’appétit est souvent conservé, mais vite rassasié. On ne retrouve pas systématiquement le désir d’aliments salés et la soif vive qui ne s’expriment que durant des périodes de déshydratation. En mangeant, des sueurs huileuses apparaissent au visage. Quelquefois, la déglutition est difficile par manque de salive. Enfin, il y a souvent une tendance à la constipation atonique par sécheresse avec de temps en temps une diarrhée aqueuse. Voici donc le cadre général à grands traits dessinés dans lequel apparaissent les troubles bucco-dentaires. Le patient vient consulter pour :
Une gingivite souvent importante, parfois d’aspect scorbutique avec un œdème gingival et des gingivorragies importantes.
Le patient se plaint d’une sensation de sécheresse buccale alors que l’on constate le plus souvent une salive importante.
Les aphtes sont fréquents.
La langue est rarement intacte. Il y a des vésicules brûlantes, des ulcérations, des zones dépapillées, des sensations de brûlure (NATRUM MURIATICUM est un remède important de glossodynies).
Enfin, il existe de nombreuses douleurs dentaires, pouvant aller jusqu’à de vraies névralgies faciales (suivant la courbe solaire).
Commentaire
d'Alain HORVILLEUR
PULSATILLA
La variabilité des symptômes, avec parfois un côté paradoxal laissant perplexe, caractérise la première phase du mode tuberculinique. Il se passe quelque chose, mais les prémisses ne suffisent pas à préciser quoi exactement. Il y a augmentation des oxydations, puis destruction cellulaire et l’ensemble des déchets de cellules détruites provoque un encombrement de la circulation veineuse. C’est le stade de PULSATILLA. En quelques mots voici les signes les plus caractéristiques de ce grand médicament : variabilité des signes psychiques (humeur changeante, pleurs faciles, consolation rapide et recherchée, « enfant du soleil et des giboulées ») et physiques (douleurs erratiques, selles variables) - congestion et stase veineuse - écoulements épais et doux, non irritants, de toutes les muqueuses - absence de soif même au cours de la fièvre - plus mal le matin que le soir - aggravation par la chaleur et amélioration par le frais ou les applications froides.
La congestion veineuse est le trait dominant de PULSATILLA. Or celle-ci se produit dans deux cas :
La congestion veineuse peut se voir en cas d’atteinte de la fonction hépato-digestive surchargée par un mode vie défavorable = sédentarité, excès alimentaires, caractéristique du mode réactionnel psorique. Les éliminations se font mal, la congestion artérielle s’établit, de même que la congestion cave et porte. PULSATILLA est ici un complémentaire éventuel d’un sujet chez lequel SULFUR se trouve dépassé.
La congestion veineuse peut être expliquée par l’encombrement de la circulation veineuse par suite des destructions cellulaires par déminéralisation.
C’est le mode tuberculinique, le sujet ayant besoin de minéraux pour accélérer ses oxydations, seule moyen de défense dont il dispose.
Pour ces raisons, on peut dire que PULSATILLA est un remède « carrefour » impliqué dans deux modes réactionnels = psorique ou tuberculinique. Dans le premier cas, il se trouve proche de GRAPHITES par la tendance aux ralentissements, aux difficultés éliminatoires, mais ce dernier est un frileux très sensible au froid, alors que PULSATILLA est certes un peu frileux, mais il craint surtout la chaleur sous toutes ses formes qui provoquent et aggravent de nombreux troubles, dont des douleurs dentaires en rentrant par exemple dans une pièce surchauffée en venant du froid. Dans le second cas, PULSATILLA se trouve proche de SEPIA, qui est son remède d’aggravation, lorsque la congestion veineuse se concentre sur un organe et notamment au niveau du petit bassin. Mais heureusement, de nombreux signes les différencient même s’ils sont reliés par la physiopathologie = le comportement psychique est opposé.
Même s’il ne s’agit de notre part que d’hypothèses, il semble que l’insuffisance rénale de PULSATILLA résulte de la tendance à la congestion veineuse. Les signes urinaires ne sont pas spécifiques, ni caractéristiques. Il en va de même pour les signes bucco-dentaires, banals en eux-mêmes = sécheresse buccale, sans soif, gingivite banale avec tendance aux parodontopathies, dysgueusies, douleurs dentaires.
L’indication repose donc avant tout sur le comportement psychique fait de dépendance affective, de recherche éperdue de la sympathie ou de l’amour, d’émotivité larmoyante, sujet passant facilement des larmes aux rires, facilement vexé, irrésolu et résigné, souvent triste, mais adorant être consolé (tout le contraire de NATRUM MURIATICUM et de SEPIA.
Ensuite, la congestion veineuse périphérique est la critère essentiel de la prescription avec notamment l’intolérance à la chaleur sous toutes ses formes, la très grande variabilité des symptômes qui laisse perplexe le praticien.
LYCOPODIUM
LYCOPODIUM (« pied de loup », plante herbacée dont on utilise les spores) a une action élective sur le foie et sur l’appareil digestif (métabolisme de l’acide urique, de l’urée, du cholestérol, etc...), sur l’appareil rénal (lithiases) et génito-urinaire, sur la peau et les muqueuses et enfin sur le système nerveux (asthénie physique et mentale).
En fait tout découle de l’atteinte hépatique et tous les troubles se manifestent progressivement et s’aggravent vers une dénutrition générale. Il se passe donc du temps entre les premières atteintes facilement réversibles et les troubles graves. C’est ce que l’on constate également au niveau des dents et de leurs tissus de soutien.
Au début, les signes bucco-dentaires évoquent un autre médicament, notamment NUX VOMICA = gingivite banale, gingivorragies abondantes (le foie joue un rôle capital dans les mécanismes de la coagulation), ou encore aphtose buccale périodique. Les signes concomitants restent très banals: sécheresse buccale avec absence de soif (signe inconstant, en tout cas pas aussi caractéristique que dans PULSATILLA), dysgueusies (goût amer, de fromage, de moisi). Les troubles digestifs qui précèdent ou accompagnent les troubles bucco-dentaires évoquent également NUX VOMICA: dyspepsie flatulente, pyrosis, distension abdominale (même s’il mange peu), sensation de plénitude, constipation avec besoins inefficaces, défécation souvent douloureuse par constriction spasmodique de l’anus ou présence d’hémorroïdes procidentes et douloureuses (< au toucher, assis et > par un bain chaud), on ne retrouve pas l’antipéristaltisme, ou du moins aussi prononcé que dans NUX VOMICA. Mais LYCOPODIUM a une faim vorace vite rassasiée que n’a pas NUX VOMICA, de même qu’une faim nocturne (qui annonce sans doute PSORINUM et que l’on retrouve aussi dans PHOSPHORUS, autre « grand » remède du foie). Au début, il n’est pas facile de distinguer ces deux remèdes car les signes ne sont pas très différenciés. Progressivement, les différences apparaissent: NUX VOMICA est aggravé juste après le repas, avec besoin de desserrer sa ceinture, besoin de faire une sieste qui améliore. LYCOPODIUM est aggravé deux ou trois heures après le repas, entre 16h et 20H, période de la digestion qui fait participer le foie.
Dans une deuxième période, l’état général se trouve atteint, comme d’ailleurs les troubles digestifs et bucco-dentaires: éructations et brûlures intenses, ulcère gastro-duodénal, dyskinésie biliaire pouvant aller jusqu’à la lithiase ou à la colique hépatique, gingivite ulcéreuse avec parodontopathies, herpès croûteux et pruriant des commissures labiales, éruptions vésiculeuses dans la bouche.
Enfin, dans un troisième tableau, l’aggravation est manifeste aussi bien sur le plan général qu’au niveau des différents appareils. Le sujet tend à maigrir mais garde un gros ventre, l’asthénie physique apparaît et contraste durant une période plus ou moins longue avec un intellect conservé. Les constantes biologiques sont perturbées: acide urique, urée, cholestérol, acides gras, triglycérides, etc... L’appareil rénal et génital n’échappe pas: lithiase urinaire, coliques néphrétiques, urines avec dépôt de sable rouge non adhérent, acétonémie avec vomissements, prostatisme, impuissance avec désirs conservés, etc... Sur le plan bucco-dentaire, la maladie parodontale domine et surtout s’aggrave.
LYCOPODIUM correspond progressivement à un mode psorique devenant de moins en moins efficace, ce que l’on peut résumer en quelques termes: LYCOPODIUM élimine mal car ses émonctoires sont devenus insuffisants. De ce fait, LYCOPODIUM assimile mal et la dénutrition le guette. La peau reflète les difficultés éliminatoires: urticaire chronique du fait du rôle du foie dans la fonction anti-toxique, eczéma qui saigne au moindre contact, dermatoses séborrhéiques et lésions fissuraires et hyperkératosiques.
L’intellect se trouve ensuite atteint (difficulté de concentration, perte de la mémoire, erreurs en parlant ou en écrivant...), de même que le comportement. On a souvent dit, et à juste titre, que LYCOPODIUM présente deux tendances opposées: une hypersensibilité avec émotivité marquée, besoin avide de tendresse et d’affection, manque de confiance en soi, anxiété chronique avec peurs diverses.
Le patient en est conscient et ressent sa sensibilité comme une faiblesse qu’il cache par un comportement orgueilleux, autoritaire, susceptible, irritable avec des colères relativement rares mais violentes, intolérance à la contradiction. De nombreux signes évoquent encore une fois NUX VOMICA, mais ce dernier semble plus instinctif = il réagit d’abord et réfléchit ensuite, tout le contraire de LYCOPODIUM. Tous deux ont un réveil difficile avec mauvaise humeur.
La posologie ne pose pas de problème au début du fait du fonctionnement encore satisfaisant des émonctoires. Une 7 CH deux à trois par semaine donne de bons résultats. Avec la décompensation, ce médicament devient difficile à prescrire. Il faut souvent nécessaire de le faire précéder par des complémentaires d’action ponctuelle, traitement qui revient au médecin.
Commentaire d'Alain HORVILLEUR
SEPIA
L’indication de ce médicament d’origine animale signifie que les conséquences des facteurs étiologiques psoriques ont fini par susciter une congestion veineuse importante, notamment au niveau du petit bassin. L’originalité anatomique féminine explique sans doute que ce médicament soit plus fréquent chez les femmes. Mais, comme cela a été dit plusieurs fois, lorsqu’un seul mode réactionnel ne suffit plus à maintenir l’équilibre de santé, d’autres modes sont alors utilisés, c’est le cas pour SEPIA, médicament de troubles du mode psorique, mais également ici du mode sycotique (productions tumorales = polypes, papillomes - torpidité de certaines manifestations comme les dermatoses comme le psoriasis ou les mycoses...). Le mode psorique est tout de même dominant et précède le mode sycotique = alternances et successions d’affections cutanées et muqueuses, dont pour ces dernières la muqueuse buccale.
Par ailleurs, la congestion veineuse qui prédomine dans SEPIA explique son indication fréquente dans le traitement de troubles typiquement tuberculinique. Et les élastopathies et les ptôses qui s’en suivent donnent à SEPIA un rôle dans le traitement de certains troubles luétiques. C’est donc un médicament poly-diathésique.
Les troubles de la fonction hépatique résultent selon notre hypothèse, comme ceux de PULSATILLA, de la congestion veineuse.
La gingivorragie est sans doute la sonnette d’alarme de la congestion veineuse portale ou cave. La gingivite apparaît également, HAHNEMANN avait déjà remarqué que « la gencive gonfle et devient douloureuse, ulcération de la gencive, saignement de la gencive, les dents se gâtent rapidement, branlement des incisives inférieures, toutes les dents deviennent branlantes et douloureuse... ». Kent ajoute « Les gencives se rétractent et découvrent les dents ». VANNIER et POIRIER parlent de « pyorrhée ».
Mais, et c’est encore un leitmotiv, tous ces troubles apparaissent progressivement, ce qui permet dans certains cas une action préventive. Les troubles bucco-dentaires ne sont pratiquement jamais isolés et font partie de l’atteinte de l’appareil digestif et des conséquences sur la circulation veineuse, portale d’abord, puis cave, enfin général.
Comme LYCOPODIUM, SEPIA représente une étape d’aggravation du mode psorique = d’abord du fait du blocage des émonctoires (peau surtout, muqueuses ensuite dont la constipation). LYCOPODIUM se caractérise par une atteinte directe du lobule hépatique, SEPIA par une atteinte préférentielle du système porte. On se reportera à la Matière médicale pour rafraîchir ses souvenirs sur l’ensemble des troubles de ce médicament, notamment sur le comportement psychique largement décrit.
Commentaire
d'Alain HORVILLEUR
CONCLUSION
L’insuffisance rénale n’est pas du ressort thérapeutique du chirurgien-dentiste, c’est une évidence. Comme c’est autre évidence que les insuffisants rénaux ont très souvent de gros problèmes bucco-dentaires, dont les parodontopathies ne sont qu’un élément.
Tout le problème est celui de la prescription par le dentiste de médicaments homéopathiques, certes indiqués par le contexte local qui lui revient, mais qui ont obligatoirement une action générale. En fait tout est une question de choix, de réflexion, afin de ne pas nuire au patient. Chaque fois que possible, nous conseillons la collaboration avec un médecin homéopathe.